提醒成功
搜索
Rabbit Polyclonal Antibody to MYL1
-
货号:
P34512 -
别名:
Myosin light chain 1/3, skeletal muscle isoform, MLC1/MLC3, MLC1F/MLC3F, Myosin light chain alkali 1/2, Myosin light chain A1/A2, MYL1 -
应用:
WB,IHC-P,IF,FCM -
反应种属:
Human, Mouse, Rat -
抗体类型:
Primary antibody -
Swissprot:
P05976 -
规格:
-
数量:
-+ -
说明书:
目录价¥1980
Rabbit Polyclonal Antibody to MYL1
Description |
|---|
Regulatory light chain of myosin. Does not bind calcium. |
Specification |
|
|---|---|
| Aliases | Myosin light chain 1/3, skeletal muscle isoform, MLC1/MLC3, MLC1F/MLC3F, Myosin light chain alkali 1/2, Myosin light chain A1/A2, MYL1 |
| Entrez GeneID | 4632 |
| Swissprot | P05976 |
| WB Predicted band size | 21.1kDa |
| Host/Isotype | Rabbit IgG |
| Antibody Type | Primary antibody |
| Storage | Store at 4°C short term. Aliquot and store at -20°C long term. Avoid freeze/thaw cycles. |
| Species Reactivity | Human, Mouse, Rat |
| Immunogen | This MYL1 antibody is generated from a rabbit immunized with a KLH conjugated synthetic peptide between 101-135 amino acids from the Central region of human MYL1. |
Application |
|
|---|---|
| WB | 1/2000 |
| IHC | 1/100-1/500 |
| IF/ICC | 1/25 |
| FCM | 1/25 |
Product Image
- All lanes : Anti-MYL1 Antibody (Center) at 1:2000 dilution Lane 1: Human heart lysate Lane 2: Human skeletal muslce lysate Lane 3: Mouse skeletal muscle lysate Lane 4: Rat skeletal muscle lysate Lysates/proteins at 20 µg per lane. Secondary Goat Anti-Rabbit IgG, (H+L), Peroxidase conjugated at 1/10000 dilution. Predicted band size : 21 kDa Blocking/Dilution buffer: 5% NFDM/TBST.
- Immunofluorescent analysis of 4% paraformaldehyde-fixed, 0. 1% Triton X-100 permeabilized Hela cells labeling MYL1 with P34512 at 1/25 dilution, followed by Dylight® 488-conjugated goat anti-Rabbit IgG secondary antibody at 1/200 dilution (green). Immunofluorescence image showing Cytoplasm and Weak Nucleus staining on Hela cell line. The nuclear counter stain is DAPI (blue).
- Overlay histogram showing Hela cells stained with P34512(green line). The cells were fixed with 2% paraformaldehyde (10 min) and then permeabilized with 90% methanol for 10 min. The cells were then icubated in 2% bovine serum albumin to block non-specific protein-protein interactions followed by the antibody (P34512, 1:25 dilution) for 60 min at 37ºC. The secondary antibody used was Goat-Anti-Rabbit IgG, DyLight® 488 Conjugated Highly Cross-Adsorbed(OE188374) at 1/200 dilution for 40 min at 37ºC. Isotype control antibody (blue line) was rabbit IgG1 (1μg/1x10^6 cells) used under the same conditions. Acquisition of >10, 000 events was performed.
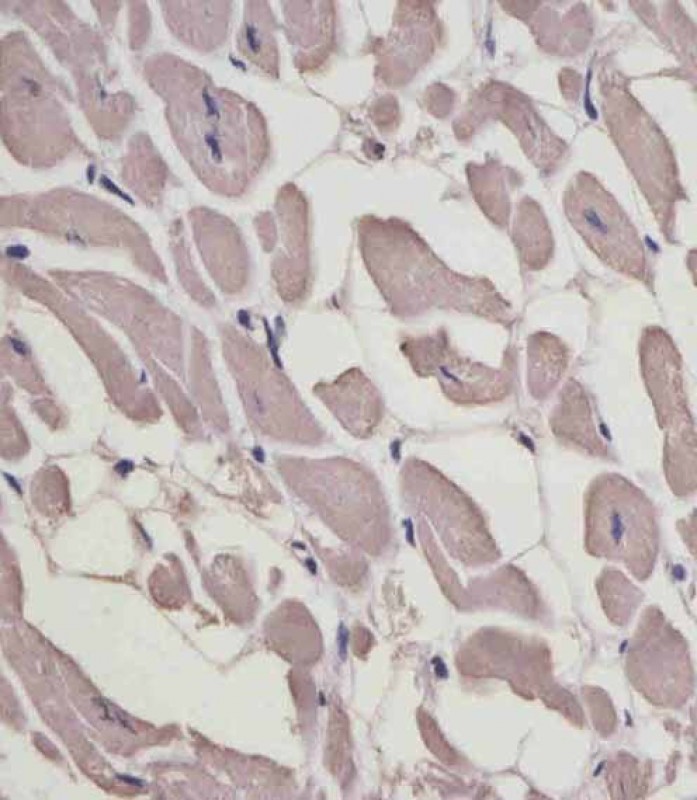
- P34512 staining MYL1 in human heart tissue sections by Immunohistochemistry (IHC-P - paraformaldehyde-fixed, paraffin-embedded sections). Tissue was fixed with formaldehyde and blocked with 3% BSA for 0. 5 hour at room temperature; antigen retrieval was by heat mediation with a citrate buffer (pH6). Samples were incubated with primary antibody (1/25) for 1 hours at 37°C. A undiluted biotinylated goat polyvalent antibody was used as the secondary antibody.
For Reseach Only
Application Key:WB - Western Blot | IHC - Immunohistochemistry | ICC - Immunocytochemistry | FCM - Flow Cytometry | ELISA - Enzyme-linked Immunosorbent Assay | IP - Immunoprecipitation
#P34512
相关产品

微信/QQ登录


首页
