提醒成功

搜索
Rabbit Polyclonal Antibody to ROR2
-
货号:
P34446 -
别名:
Tyrosine-protein kinase transmembrane receptor ROR2, Neurotrophic tyrosine kinase, receptor-related 2, ROR2, NTRKR2 -
应用:
WB,IHC-P -
反应种属:
Human, Mouse -
抗体类型:
Primary antibody -
Swissprot:
Q01974 -
规格:
-
数量:
-+ -
说明书:
目录价¥1980

Rabbit Polyclonal Antibody to ROR2
Description |
---|
ROR2 is a tyrosine-protein kinase receptor which may be involved in the early formation of the chondrocytes. It seems to be required for cartilage and growth plate development. This Type I membrane protein is expressed at high levels during early embryonic development. The expression levels drop strongly around day 16 and there are only very low levels in adult tissues. Defects in ROR2 are a cause of brachydactyly type B1 (BDB1). BDB1 is an autosomal dominant skeletal disorder characterized by hypoplasia/aplasia of distal phalanges and nails. In BDB1 the middle phalanges are short but in addition the terminal phalanges are rudimentary or absent. Both fingers and toes are affected. The thumbs and big toes are usually deformed. Defects in ROR2 are a cause of recessive Robinow syndrome (RRS). RRS is an autosomal disorder characterized by skeletal dysplasia with generalized limb bone shortening, segmental defects of the spine, brachydactyly and a dysmorphic facial appearance. The protein contains 1 frizzled (FZ) domain, 1 immunoglobulin-like C2-type domain, and 1 kringle domain. |
Specification |
|
---|---|
Aliases | Tyrosine-protein kinase transmembrane receptor ROR2, Neurotrophic tyrosine kinase, receptor-related 2, ROR2, NTRKR2 |
Entrez GeneID | 4920 |
Swissprot | Q01974 |
WB Predicted band size | 104.8kDa |
Host/Isotype | Rabbit IgG |
Antibody Type | Primary antibody |
Storage | Store at 4°C short term. Aliquot and store at -20°C long term. Avoid freeze/thaw cycles. |
Species Reactivity | Human, Mouse |
Immunogen | This ROR2 antibody is generated from rabbits immunized with a KLH conjugated synthetic peptide between 915-943 amino acids from the C-terminal region of human ROR2. |
Formulation | Purified antibody in PBS with 0.05% sodium azide,1%BSA and 50% glycerol.prepared by Saturated Ammonium Sulfate (SAS) . |
Application |
|
---|---|
WB | 1/1000-1/2000 |
IHC | 1/100-1/500 |
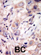
Product Image
- All lanes : Anti-ROR2 Antibody (C-term) at 1:2000 dilution Lane 1: Hela whole cell lysate Lane 2: K562 whole cell lysate Lane 3: T47D whole cell lysate Lane 4: NIH/3T3 whole cell lysate Lysates/proteins at 20 µg per lane. Secondary Goat Anti-Rabbit IgG, (H+L), Peroxidase conjugated at 1/10000 dilution. Predicted band size : 105 kDa Blocking/Dilution buffer: 5% NFDM/TBST.
- Western blot analysis of ROR2 (arrow) using rabbit polyclonal ROR2 Antibody (C-term) (Cat.#P34446). 293 cell lysates (2 ug/lane) either nontransfected (Lane 1) or transiently transfected with the ROR2 gene (Lane 2) (Origene Technologies).
- Formalin-fixed and paraffin-embedded human cancer tissue reacted with the primary antibody, which was peroxidase-conjugated to the secondary antibody, followed by DAB staining. This data demonstrates the use of this antibody for immunohistochemistry; clinical relevance has not been evaluated. BC = breast carcinoma; HC = hepatocarcinoma.
For Reseach Only
Application Key:WB - Western Blot | IHC - Immunohistochemistry | ICC - Immunocytochemistry | FCM - Flow Cytometry | ELISA - Enzyme-linked Immunosorbent Assay | IP - Immunoprecipitation
#P34446

相关产品


