提醒成功

搜索
Rabbit Polyclonal Antibody to Phospho-IRAK1(S376)
-
货号:
P34444 -
别名:
Interleukin-1 receptor-associated kinase 1, IRAK-1, 2.7.11.1, IRAK1, IRAK -
应用:
WB,IHC-P,IF -
反应种属:
Human -
抗体类型:
Primary antibody -
Swissprot:
P51617 -
规格:
-
数量:
-+ -
说明书:
目录价¥2180

Rabbit Polyclonal Antibody to Phospho-IRAK1(S376)
Description |
---|
Serine/threonine-protein kinase that plays a critical role in initiating innate immune response against foreign pathogens. Involved in Toll-like receptor (TLR) and IL-1R signaling pathways. Is rapidly recruited by MYD88 to the receptor- signaling complex upon TLR activation. Association with MYD88 leads to IRAK1 phosphorylation by IRAK4 and subsequent autophosphorylation and kinase activation. Phosphorylates E3 ubiquitin ligases Pellino proteins (PELI1, PELI2 and PELI3) to promote pellino-mediated polyubiquitination of IRAK1. Then, the ubiquitin-binding domain of IKBKG/NEMO binds to polyubiquitinated IRAK1 bringing together the IRAK1-MAP3K7/TAK1-TRAF6 complex and the NEMO-IKKA-IKKB complex. In turn, MAP3K7/TAK1 activates IKKs (CHUK/IKKA and IKBKB/IKKB) leading to NF-kappa-B nuclear translocation and activation. Alternatively, phosphorylates TIRAP to promote its ubiquitination and subsequent degradation. Phosphorylates the interferon regulatory factor 7 (IRF7) to induce its activation and translocation to the nucleus, resulting in transcriptional activation of type I IFN genes, which drive the cell in an antiviral state. When sumoylated, translocates to the nucleus and phosphorylates STAT3. |
Specification |
|
---|---|
Aliases | Interleukin-1 receptor-associated kinase 1, IRAK-1, 2.7.11.1, IRAK1, IRAK |
Entrez GeneID | 3654 |
Swissprot | P51617 |
WB Predicted band size | 76.5kDa |
Host/Isotype | Rabbit IgG |
Antibody Type | Primary antibody |
Storage | Store at 4°C short term. Aliquot and store at -20°C long term. Avoid freeze/thaw cycles. |
Species Reactivity | Human |
Immunogen | This Phospho-IRAK1(S376) antibody is generated from a rabbit immunized with a KLH conjugated synthetic peptide between 348-381 amino acids from human IRAK1. |
Application |
|
---|---|
WB | 1/1000 |
IHC | 1/100-1/500 |
IF/ICC | 1/25 |
Product Image
- Western blot analysis of lysates from Hela cell line, untreated or treated with IL-1 beta(20ng/ml) + Calyculin A(100nM), using (Cat. #P34444)(upper) or Tubulin (lower).
- Immunofluorescent analysis of 4% paraformaldehyde-fixed, 0.1% Triton X-100 permeabilized HeLa (human cervical epithelial adenocarcinoma cell line) cells labeling IRAK1 with P34444 at 1/25 dilution, followed by Dylight® 488-conjugated goat anti-rabbit IgG secondary antibody at 1/200 dilution (green). Immunofluorescence image showing cytoplasm and nuclear speckles staining on HeLa cell line. Cytoplasmic actin is detected with Dylight® 554 Phalloidin at 1/100 dilution (red). The nuclear counter stain is DAPI (blue).
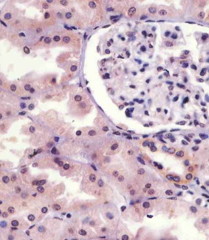
- P34444 staining IRAK1 in human kidney tissue sections by Immunohistochemistry (IHC-P - paraformaldehyde-fixed, paraffin-embedded sections). Tissue was fixed with formaldehyde and blocked with 3% BSA for 0. 5 hour at room temperature; antigen retrieval was by heat mediation with a citrate buffer (pH6). Samples were incubated with primary antibody (1/25) for 1 hours at 37°C. A undiluted biotinylated goat polyvalent antibody was used as the secondary antibody.
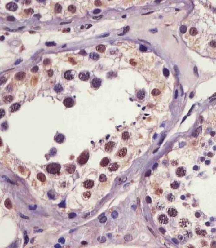
- P34444 staining IRAK1 in human testis tissue sections by Immunohistochemistry (IHC-P - paraformaldehyde-fixed, paraffin-embedded sections). Tissue was fixed with formaldehyde and blocked with 3% BSA for 0. 5 hour at room temperature; antigen retrieval was by heat mediation with a citrate buffer (pH6). Samples were incubated with primary antibody (1/25) for 1 hours at 37°C. A undiluted biotinylated goat polyvalent antibody was used as the secondary antibody.
For Reseach Only
Application Key:WB - Western Blot | IHC - Immunohistochemistry | ICC - Immunocytochemistry | FCM - Flow Cytometry | ELISA - Enzyme-linked Immunosorbent Assay | IP - Immunoprecipitation
#P34444

相关产品


