提醒成功

搜索
Rabbit Polyclonal Antibody to PSMD3
-
货号:
P34443 -
别名:
26S proteasome non-ATPase regulatory subunit 3, 26S proteasome regulatory subunit RPN3, 26S proteasome regulatory subunit S3, Proteasome subunit p58, PSMD3 -
应用:
WB,IHC-P,FCM -
反应种属:
Human, Mouse -
抗体类型:
Primary antibody -
Swissprot:
O43242 -
规格:
-
数量:
-+ -
说明书:
目录价¥1980

Rabbit Polyclonal Antibody to PSMD3
Description |
---|
Acts as a regulatory subunit of the 26 proteasome which is involved in the ATP-dependent degradation of ubiquitinated proteins. |
Specification |
|
---|---|
Aliases | 26S proteasome non-ATPase regulatory subunit 3, 26S proteasome regulatory subunit RPN3, 26S proteasome regulatory subunit S3, Proteasome subunit p58, PSMD3 |
Entrez GeneID | 5709 |
Swissprot | O43242 |
WB Predicted band size | 61.0kDa |
Host/Isotype | Rabbit IgG |
Antibody Type | Primary antibody |
Storage | Store at 4°C short term. Aliquot and store at -20°C long term. Avoid freeze/thaw cycles. |
Species Reactivity | Human, Mouse |
Immunogen | This PSMD3 antibody is generated from a rabbit immunized with a KLH conjugated synthetic peptide between 482-515 amino acids from human PSMD3. |
Application |
|
---|---|
WB | 1/2000 |
IHC | 1/250 |
FCM | 1/25 |
Product Image
- All lanes : Anti-PSMD3 Antibody (C-Term) at 1:2000 dilution Lane 1: Jurkat whole cell lysate Lane 2: Hela whole cell lysate Lane 3: HepG2 whole cell lysate Lane 4: MCF-7 whole cell lysate Lane 5: NIH/3T3 whole cell lysate Lysates/proteins at 20 µg per lane. Secondary Goat Anti-Rabbit IgG, (H+L), Peroxidase conjugated at 1/10000 dilution. Predicted band size : 61 kDa Blocking/Dilution buffer: 5% NFDM/TBST.
- Overlay histogram showing HeLa cells stained with P34443(green line). The cells were fixed with 2% paraformaldehyde (10 min) and then permeabilized with 90% methanol for 10 min. The cells were then icubated in 2% bovine serum albumin to block non-specific protein-protein interactions followed by the antibody (P34443, 1:25 dilution) for 60 min at 37ºC. The secondary antibody used was Goat-Anti-Rabbit IgG, DyLight® 488 Conjugated Highly Cross-Adsorbed(OE188374) at 1/200 dilution for 40 min at 37ºC. Isotype control antibody (blue line) was rabbit IgG1 (1μg/1x10^6 cells) used under the same conditions. Acquisition of >10, 000 events was performed.
- P34443 staining PSMD3 in human brain tissue sections by Immunohistochemistry (IHC-P - paraformaldehyde-fixed, paraffin-embedded sections). Samples were incubated with primary antibody (1/250) for 1 hours at room temperature. A undiluted biotinylated goat polyvalent antibody was used as the secondary antibody.
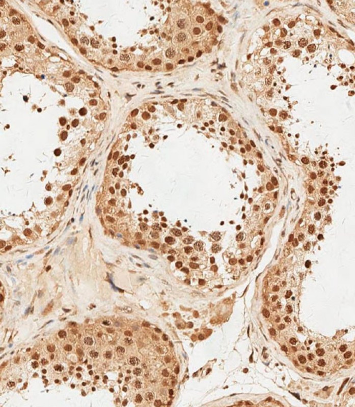
- P34443 staining PSMD3 in human testis tissue sections by Immunohistochemistry (IHC-P - paraformaldehyde-fixed, paraffin-embedded sections). Samples were incubated with primary antibody (1/250) for 1 hours at room temperature. A undiluted biotinylated goat polyvalent antibody was used as the secondary antibody.
For Reseach Only
Application Key:WB - Western Blot | IHC - Immunohistochemistry | ICC - Immunocytochemistry | FCM - Flow Cytometry | ELISA - Enzyme-linked Immunosorbent Assay | IP - Immunoprecipitation
#P34443

相关产品


