提醒成功

Mouse Monoclonal Antibody to GLUL
-
货号:
31952 -
别名:
GS; GLNS; PIG43; PIG59 -
应用:
WB,IHC,FCM -
反应种属:
Human, Mouse -
抗体类型:
Primary antibody -
Swissprot:
P15104 -
规格:
-
数量:
-+ -
说明书:
目录价¥2180

Mouse Monoclonal Antibody to GLUL
Description |
---|
The protein encoded by this gene belongs to the glutamine synthetase family. It catalyzes the synthesis of glutamine from glutamate and ammonia in an ATP-dependent reaction. This protein plays a role in ammonia and glutamate detoxification, acid-base homeostasis, cell signaling, and cell proliferation. Glutamine is an abundant amino acid, and is important to the biosynthesis of several amino acids, pyrimidines, and purines. Mutations in this gene are associated with congenital glutamine deficiency, and overexpression of this gene was observed in some primary liver cancer samples. There are six pseudogenes of this gene found on chromosomes 2, 5, 9, 11, and 12. Alternative splicing results in multiple transcript variants. |
References |
---|
1,J Proteome Res. 2019 Mar 1;18(3):1352-1362; 2,J Cell Biochem. 2018 Jul;119(7):6008-6015. |
Specification |
|
---|---|
Aliases | GS; GLNS; PIG43; PIG59 |
Entrez GeneID | 2752 |
Swissprot | P15104 |
clone | 5A3B4 |
WB Predicted band size | 42kDa |
Host/Isotype | Mouse IgG1 |
Antibody Type | Primary antibody |
Storage | Store at 4°C short term. Aliquot and store at -20°C long term. Avoid freeze/thaw cycles. |
Species Reactivity | Human, Mouse |
Immunogen | Purified recombinant fragment of human GLUL (AA: 2-121) expressed in E. Coli. |
Formulation | Purified antibody in PBS with 0.05% sodium azide |
Application |
|
---|---|
WB | 1/500 - 1/2000 |
IHC | 1/200-1/1000 |
FCM | 1/200-1/400 |
ELISA | 1/10000 |
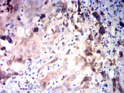
Product Image
- Black line: Control Antigen (100 ng);Purple line: Antigen (10ng); Blue line: Antigen (50 ng); Red line: Antigen (100 ng)
- Western blot analysis using GLUL mouse mAb against Jurkat (1), and mouse liver (2) cell lysate.
- Flow cytometric analysis of Hela cells using GLUL mouse mAb (green) and negative control (red).
- Immunohistochemical analysis of paraffin-embedded human cerebellar tissues using GLUL mouse mAb with DAB staining.
- Immunohistochemical analysis of paraffin-embedded human liver cancer tissues using GLUL mouse mAb with DAB staining.
For Reseach Only
Application Key:WB - Western Blot | IHC - Immunohistochemistry | ICC - Immunocytochemistry | FCM - Flow Cytometry | ELISA - Enzyme-linked Immunosorbent Assay | IP - Immunoprecipitation
#31952

相关产品


