提醒成功

Mouse Monoclonal Antibody to PGR
-
货号:
31933 -
别名:
PR; NR3C3 -
应用:
WB,IHC,FCM -
反应种属:
Human -
抗体类型:
Primary antibody -
Swissprot:
P06401 -
规格:
-
数量:
-+ -
说明书:
目录价¥2180

Mouse Monoclonal Antibody to PGR
Description |
---|
This gene encodes a member of the steroid receptor superfamily. The encoded protein mediates the physiological effects of progesterone, which plays a central role in reproductive events associated with the establishment and maintenance of pregnancy. This gene uses two distinct promotors and translation start sites in the first exon to produce several transcript variants, both protein coding and non-protein coding. Two of the isoforms (A and B) are identical except for an additional 165 amino acids found in the N-terminus of isoform B and mediate their own response genes and physiologic effects with little overlap. |
References |
---|
1,Am J Surg Pathol. 2019 Jun;43(6):810-818. 2,Reprod Sci. 2019 Dec;26(12):1568-1574. |
Specification |
|
---|---|
Aliases | PR; NR3C3 |
Entrez GeneID | 5241 |
Swissprot | P06401 |
clone | 2E4B9 |
WB Predicted band size | 99KDa |
Host/Isotype | Mouse IgG1 |
Antibody Type | Primary antibody |
Storage | Store at 4°C short term. Aliquot and store at -20°C long term. Avoid freeze/thaw cycles. |
Species Reactivity | Human |
Immunogen | Purified recombinant fragment of human PGR (AA:166-411) expressed in E. Coli. |
Formulation | Purified antibody in PBS with 0.05% sodium azide |
Application |
|
---|---|
WB | 1/500 - 1/2000 |
IHC | 1/200-1/1000 |
FCM | 1/200-1/400 |
ELISA | 1/10000 |
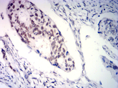
Product Image
- Black line: Control Antigen (100 ng);Purple line: Antigen (10ng); Blue line: Antigen (50 ng); Red line: Antigen (100 ng)
- Flow cytometric analysis of Hela cells using PGR mouse mAb (green) and negative control (red).
- Immunohistochemical analysis of paraffin-embedded human breast cancer tissues using PGR mouse mAb with DAB staining.
- Immunohistochemical analysis of paraffin-embedded human rectal cancer tissues using PGR mouse mAb with DAB staining.
For Reseach Only
Application Key:WB - Western Blot | IHC - Immunohistochemistry | ICC - Immunocytochemistry | FCM - Flow Cytometry | ELISA - Enzyme-linked Immunosorbent Assay | IP - Immunoprecipitation
#31933

相关产品


