提醒成功

搜索
Rabbit Polyclonal Antibody to PTRF (N-term)
-
货号:
P33864 -
别名:
Polymerase I and transcript release factor, Cavin-1, PTRF {ECO:0000312|EMBL:AAH661231} -
应用:
WB,IHC-P -
反应种属:
Human -
抗体类型:
Primary antibody -
Swissprot:
Q6NZI2 -
规格:
-
数量:
-+ -
说明书:
目录价¥1980

Rabbit Polyclonal Antibody to PTRF (N-term)
Description |
---|
Termination of transcription by RNA polymerase I involves pausing of transcription by TTF1, and the dissociation of the transcription complex, releasing pre-rRNA and RNA polymerase I from the template. PTRF is required for dissociation of the ternary transcription complex. |
Specification |
|
---|---|
Aliases | Polymerase I and transcript release factor, Cavin-1, PTRF {ECO:0000312|EMBL:AAH661231} |
Entrez GeneID | 284119 |
Swissprot | Q6NZI2 |
WB Predicted band size | 43.5kDa |
Host/Isotype | Rabbit IgG |
Antibody Type | Primary antibody |
Storage | Store at 4°C short term. Aliquot and store at -20°C long term. Avoid freeze/thaw cycles. |
Species Reactivity | Human |
Immunogen | This PTRF antibody is generated from rabbits immunized with a KLH conjugated synthetic peptide between 1-30 amino acids from the N-terminal region of human PTRF. |
Formulation | Purified antibody in PBS with 0.05% sodium azide,1%BSA and 50% glycerol.prepared by Saturated Ammonium Sulfate (SAS) . |
Application |
|
---|---|
WB | 1/1000 |
IHC | 1/100-1/500 |
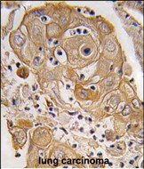
Product Image
- All lanes : Anti-PTRF Antibody (N-term) at 1:1000 dilution Lane 1: A375 whole cell lysate Lane 2: Hela whole cell lysate Lysates/proteins at 20 µg per lane. Secondary Goat Anti-Rabbit IgG, (H+L), Peroxidase conjugated at 1/10000 dilution. Predicted band size : 43 kDa Blocking/Dilution buffer: 5% NFDM/TBST.
- Formalin-fixed and paraffin-embedded human lung carcinoma tissue reacted with PTRF antibody (N-term) (Cat.#P33864), which was peroxidase-conjugated to the secondary antibody, followed by DAB staining. This data demonstrates the use of this antibody for immunohistochemistry; clinical relevance has not been evaluated.
For Reseach Only
Application Key:WB - Western Blot | IHC - Immunohistochemistry | ICC - Immunocytochemistry | FCM - Flow Cytometry | ELISA - Enzyme-linked Immunosorbent Assay | IP - Immunoprecipitation
#P33864

相关产品


