提醒成功

搜索
Rabbit Polyclonal Antibody to TLR2 (N-term)
-
货号:
P33535 -
别名:
Toll-like receptor 2, Toll/interleukin-1 receptor-like protein 4, CD282, TLR2, TIL4 -
应用:
WB,IHC-P,FCM -
反应种属:
Human -
抗体类型:
Primary antibody -
Swissprot:
O60603 -
规格:
-
数量:
-+ -
说明书:
目录价¥1980

Rabbit Polyclonal Antibody to TLR2 (N-term)
Description |
---|
The protein encoded by this gene is a member of the Toll-like receptor (TLR) family which plays a fundamental role in pathogen recognition and activation of innate immunity. TLRs are highly conserved from Drosophila to humans and share structural and functional similarities. They recognize pathogen-associated molecular patterns (PAMPs) that are expressed on infectious agents, and mediate the production of cytokines necessary for the development of effective immunity. The various TLRs exhibit different patterns of expression. This gene is expressed most abundantly in peripheral blood leukocytes, and mediates host response to Gram-positive bacteria and yeast via stimulation of NF-kappaB. |
Specification |
|
---|---|
Aliases | Toll-like receptor 2, Toll/interleukin-1 receptor-like protein 4, CD282, TLR2, TIL4 |
Entrez GeneID | 7097 |
Swissprot | O60603 |
WB Predicted band size | 89.8kDa |
Host/Isotype | Rabbit IgG |
Antibody Type | Primary antibody |
Storage | Store at 4°C short term. Aliquot and store at -20°C long term. Avoid freeze/thaw cycles. |
Species Reactivity | Human |
Immunogen | This TLR2 antibody is generated from rabbits immunized with a KLH conjugated synthetic peptide between 212-242 amino acids from the N-terminal region of human TLR2. |
Formulation | Purified antibody in PBS with 0.05% sodium azide,1%BSA and 50% glycerol.prepared by Saturated Ammonium Sulfate (SAS) . |
Application |
|
---|---|
WB | 1/1000 |
IHC | 1/100-1/500 |
FCM | 1/10-1/50 |
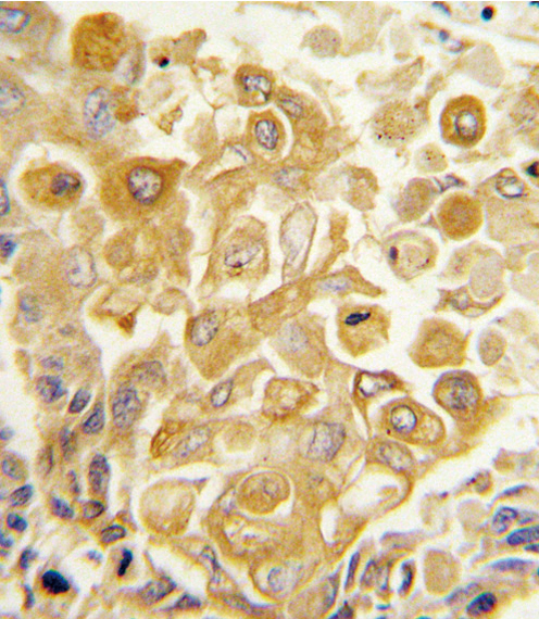
Product Image
- Anti-TLR2 Antibody (C226) at 1:1000 dilution + Ramos whole cell lysate Lysates/proteins at 20 µg per lane. Secondary Goat Anti-Rabbit IgG, (H+L), Peroxidase conjugated at 1/10000 dilution. Predicted band size : 90 kDa Blocking/Dilution buffer: 5% NFDM/TBST.
- Flow cytometric analysis of CEM cells using TLR2 Antibody (N-term) (bottom histogram) compared to a negative control cell (top histogram). FITC-conjugated goat-anti-rabbit secondary antibodies were used for the analysis.
- Formalin-fixed and paraffin-embedded human lung carcinoma tissue reacted with TLR2 antibody (N-term) (Cat.#P33535), which was peroxidase-conjugated to the secondary antibody, followed by DAB staining. This data demonstrates the use of this antibody for immunohistochemistry; clinical relevance has not been evaluated.
For Reseach Only
Application Key:WB - Western Blot | IHC - Immunohistochemistry | ICC - Immunocytochemistry | FCM - Flow Cytometry | ELISA - Enzyme-linked Immunosorbent Assay | IP - Immunoprecipitation
#P33535

相关产品


