提醒成功

Mouse Monoclonal Antibody to TIA1
-
货号:
31855 -
别名:
WDM; TIA-1 -
应用:
IHC,IF,FCM -
反应种属:
Human -
抗体类型:
Primary antibody -
Swissprot:
P31483 -
规格:
-
数量:
-+ -
说明书:
目录价¥2180

Mouse Monoclonal Antibody to TIA1
Description |
---|
The product encoded by this gene is a member of a RNA-binding protein family and possesses nucleolytic activity against cytotoxic lymphocyte (CTL) target cells. It has been suggested that this protein may be involved in the induction of apoptosis as it preferentially recognizes poly(A) homopolymers and induces DNA fragmentation in CTL targets. The major granule-associated species is a 15-kDa protein that is thought to be derived from the carboxyl terminus of the 40-kDa product by proteolytic processing. Alternative splicing resulting in different isoforms has been found for this gene. |
References |
---|
1.Cell Rep. 2018 Jan 2;22(1):59-71. 2.Oncotarget. 2016 Mar 29;7(13):17111-28. |
Specification |
|
---|---|
Aliases | WDM; TIA-1 |
Entrez GeneID | 7072 |
Swissprot | P31483 |
clone | 3A3B9 |
WB Predicted band size | 43kDa |
Host/Isotype | Mouse IgG1 |
Antibody Type | Primary antibody |
Storage | Store at 4°C short term. Aliquot and store at -20°C long term. Avoid freeze/thaw cycles. |
Species Reactivity | Human |
Immunogen | Purified recombinant fragment of human TIA1 (AA: 1-215) expressed in E. Coli. |
Formulation | Purified antibody in PBS with 0.05% sodium azide |
Application |
|
---|---|
IHC | 1/200-1/1000 |
IF/ICC | 1/200 - 1/1000 |
FCM | 1/200-1/400 |
ELISA | 1/10000 |
Product Image
- Black line: Control Antigen (100 ng);Purple line: Antigen (10ng); Blue line: Antigen (50 ng); Red line: Antigen (100 ng)
- Immunofluorescence analysis of Hela cells using TIA1 mouse mAb (green). Blue: DRAQ5 fluorescent DNA dye. Red: Actin filaments have been labeled with Alexa Fluor- 555 phalloidin. Secondary antibody from Fisher (Cat#: 35503)
- Flow cytometric analysis of Hela cells using TIA1 mouse mAb (green) and negative control (red).
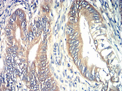
- Immunohistochemical analysis of paraffin-embedded human rectum cancer tissues using TIA1 mouse mAb with DAB staining.
For Reseach Only
Application Key:WB - Western Blot | IHC - Immunohistochemistry | ICC - Immunocytochemistry | FCM - Flow Cytometry | ELISA - Enzyme-linked Immunosorbent Assay | IP - Immunoprecipitation
#31855

相关产品


