提醒成功

Mouse Monoclonal Antibody to ACTA2
-
货号:
31829 -
别名:
ACTSA;α-Smooth Muscle Actin;Alpha-actin-2;Alpha actin 2 -
应用:
WB,IHC,IF,FCM -
反应种属:
Human, Mouse -
抗体类型:
Primary antibody -
Swissprot:
P62736 -
规格:
-
数量:
-+ -
说明书:
目录价¥2180

Mouse Monoclonal Antibody to ACTA2
Description |
---|
This gene encodes one of six different actin proteins. Actins are highly conserved proteins that are involved in cell motility, structure, integrity, and intercellular signaling. The encoded protein is a smooth muscle actin that is involved in vascular contractility and blood pressure homeostasis. Mutations in this gene cause a variety of vascular diseases, such as thoracic aortic disease, coronary artery disease, stroke, and Moyamoya disease, as well as multisystemic smooth muscle dysfunction syndrome. |
References |
---|
1.BMC Med Genet. 2017 Dec 4;18(1):143. 2.Interact Cardiovasc Thorac Surg. 2017 Nov 1;25(5):813-817. |
Specification |
|
---|---|
Aliases | ACTSA;α-Smooth Muscle Actin;Alpha-actin-2;Alpha actin 2 |
Entrez GeneID | 59 |
Swissprot | P62736 |
clone | 3G8C8 |
WB Predicted band size | 42kDa |
Host/Isotype | Mouse IgG1 |
Antibody Type | Primary antibody |
Storage | Store at 4°C short term. Aliquot and store at -20°C long term. Avoid freeze/thaw cycles. |
Species Reactivity | Human, Mouse |
Immunogen | Purified recombinant fragment of human ACTA2 (AA: E(ace)EEDSTALVCDNGSGc) expressed in E. Coli. |
Formulation | Purified antibody in PBS with 0.05% sodium azide |
Application |
|
---|---|
WB | 1/500 - 1/2000 |
IHC | 1/200 - 1/1000 |
IF/ICC | 1/200 - 1/1000 |
FCM | 1/200 - 1/400 |
ELISA | 1/10000 |
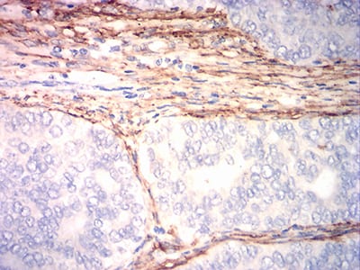
Product Image
- Black line: Control Antigen (100 ng);Purple line: Antigen (10ng); Blue line: Antigen (50 ng); Red line:Antigen (100 ng)
- Western blot analysis using ACTA2 mouse mAb against NIH/3T3 (1) cell lysate.
- Flow cytometric analysis of Hela cells using ACTA2 mouse mAb (green) and negative control (red).
- Immunohistochemical analysis of paraffin-embedded human cervical cancer tissues using ACTA2 mouse mAb with DAB staining.
For Reseach Only
Application Key:WB - Western Blot | IHC - Immunohistochemistry | ICC - Immunocytochemistry | FCM - Flow Cytometry | ELISA - Enzyme-linked Immunosorbent Assay | IP - Immunoprecipitation
#31829

相关产品


