提醒成功

Mouse Monoclonal Antibody to TOP2A
-
货号:
31812 -
别名:
TOP2; TP2A -
应用:
WB,IHC -
反应种属:
Human -
抗体类型:
Primary antibody -
Swissprot:
P11388 -
规格:
-
数量:
-+ -
说明书:
目录价¥2180

Mouse Monoclonal Antibody to TOP2A
Description |
---|
This gene encodes a DNA topoisomerase, an enzyme that controls and alters the topologic states of DNA during transcription. This nuclear enzyme is involved in processes such as chromosome condensation, chromatid separation, and the relief of torsional stress that occurs during DNA transcription and replication. It catalyzes the transient breaking and rejoining of two strands of duplex DNA which allows the strands to pass through one another, thus altering the topology of DNA. Two forms of this enzyme exist as likely products of a gene duplication event. The gene encoding this form, alpha, is localized to chromosome 17 and the beta gene is localized to chromosome 3. The gene encoding this enzyme functions as the target for several anticancer agents and a variety of mutations in this gene have been associated with the development of drug resistance. Reduced activity of this enzyme may also play a role in ataxia-telangiectasia. |
References |
---|
1.Asian Pac J Cancer Prev. 2018 Dec 25;19(12):3581-3589. 2.BMC Cancer. 2018 Mar 27;18(1):331. |
Specification |
|
---|---|
Aliases | TOP2; TP2A |
Entrez GeneID | 7153 |
Swissprot | P11388 |
clone | 6D4B2 |
WB Predicted band size | 174.4kDa |
Host/Isotype | Mouse IgG1 |
Antibody Type | Primary antibody |
Storage | Store at 4°C short term. Aliquot and store at -20°C long term. Avoid freeze/thaw cycles. |
Species Reactivity | Human |
Immunogen | Purified recombinant fragment of human TOP2A (AA: 1100-1530) expressed in E. Coli. |
Formulation | Purified antibody in PBS with 0.05% sodium azide |
Application |
|
---|---|
WB | 1/500 - 1/2000 |
IHC | 1/200 - 1/1000 |
ELISA | 1/10000 |
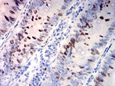
Product Image
- Black line: Control Antigen (100 ng);Purple line: Antigen (10ng); Blue line: Antigen (50 ng); Red line:Antigen (100 ng)
- Western blot analysis using TOP2A mouse mAb against HepG2 (1), Hela (2), Jurkat (3), and K562 (4) cell lysate.
- Immunohistochemical analysis of paraffin-embedded human rectum cancer tissues using TOP2A mouse mAb with DAB staining.
For Reseach Only
Application Key:WB - Western Blot | IHC - Immunohistochemistry | ICC - Immunocytochemistry | FCM - Flow Cytometry | ELISA - Enzyme-linked Immunosorbent Assay | IP - Immunoprecipitation
#31812

相关产品


