提醒成功

搜索
Rabbit Polyclonal Antibody to MIA
-
货号:
P23341 -
别名:
Melanoma-derived growth regulatory protein (Melanoma inhibitory activity protein) -
应用:
IHC -
反应种属:
Human -
抗体类型:
Primary antibody -
Swissprot:
Q16674 -
规格:
-
数量:
-+ -
说明书:
目录价¥1980

Rabbit Polyclonal Antibody to MIA
Description |
---|
Elicits growth inhibition on melanoma cells in vitro as well as some other neuroectodermal tumors, including gliomas. |
Specification |
|
---|---|
Aliases | Melanoma-derived growth regulatory protein (Melanoma inhibitory activity protein) |
Entrez GeneID | 8190 |
Swissprot | Q16674 |
Host/Isotype | Rabbit IgG |
Antibody Type | Primary antibody |
Storage | Store at 4°C short term. Aliquot and store at -20°C long term. Avoid freeze/thaw cycles. |
Species Reactivity | Human |
Immunogen | Synthetic peptide from human protein at AA range: 90-131 |
Formulation | Purified antibody in PBS with 0.05% sodium azide,0.5%BSA and 50% glycerol. |
Application |
|
---|---|
IHC | 1/50-1/100 |
ELISA | 1/10000 |
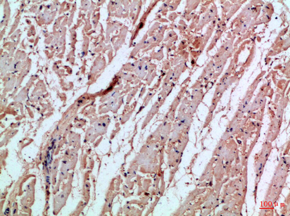
Product Image
- Immunohistochemical analysis of paraffin-embedded Human tonsils using MIA antibody.High-pressure and temperature Sodium Citrate pH 6.0 was used for antigen retrieval.
- Immunohistochemistry analysis of paraffin-embedded Human heart using MIA antibody.High-pressure and temperature Sodium Citrate pH 6.0 was used for antigen retrieval.
For Reseach Only
Application Key:WB - Western Blot | IHC - Immunohistochemistry | ICC - Immunocytochemistry | FCM - Flow Cytometry | ELISA - Enzyme-linked Immunosorbent Assay | IP - Immunoprecipitation
#P23341

相关产品


