提醒成功

搜索
Rabbit Polyclonal Antibody to CD300b
-
货号:
P23336 -
别名:
CMRF35-like molecule 7; CLM-7; CD300 antigen-like family member B; CMRF35-A2; Immune receptor expressed on myeloid cells 3; IREM-3; Leukocyte mono-Ig-like receptor 5; Triggering receptor expressed on myeloid cells 5; TREM-5; CD antigen CD300b -
应用:
IHC -
反应种属:
Human -
抗体类型:
Primary antibody -
Swissprot:
A8K4G0 -
规格:
-
数量:
-+ -
说明书:
目录价¥1980

Rabbit Polyclonal Antibody to CD300b
Description |
---|
Acts as an activating immune receptor through its interaction with ITAM-bearing adapter TYROBP, and also independently by recruitment of GRB2. |
Specification |
|
---|---|
Aliases | CMRF35-like molecule 7; CLM-7; CD300 antigen-like family member B; CMRF35-A2; Immune receptor expressed on myeloid cells 3; IREM-3; Leukocyte mono-Ig-like receptor 5; Triggering receptor expressed on myeloid cells 5; TREM-5; CD antigen CD300b |
Entrez GeneID | 124599 |
Swissprot | A8K4G0 |
Host/Isotype | Rabbit IgG |
Antibody Type | Primary antibody |
Storage | Store at 4°C short term. Aliquot and store at -20°C long term. Avoid freeze/thaw cycles. |
Species Reactivity | Human |
Immunogen | Synthetic peptide from human protein at AA range: 61-110 |
Formulation | Purified antibody in PBS with 0.05% sodium azide,0.5%BSA and 50% glycerol. |
Application |
|
---|---|
IHC | 1/50-1/100 |
ELISA | 1/10000 |
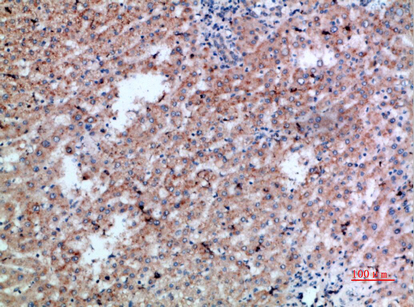
Product Image
- Immunohistochemical analysis of paraffin-embedded Human tonsils using CD300b antibody.High-pressure and temperature Sodium Citrate pH 6.0 was used for antigen retrieval.
- Immunohistochemistry analysis of paraffin-embedded Human livercancer using CD300b antibody.High-pressure and temperature Sodium Citrate pH 6.0 was used for antigen retrieval.
For Reseach Only
Application Key:WB - Western Blot | IHC - Immunohistochemistry | ICC - Immunocytochemistry | FCM - Flow Cytometry | ELISA - Enzyme-linked Immunosorbent Assay | IP - Immunoprecipitation
#P23336

相关产品


