提醒成功

搜索
Rabbit Polyclonal Antibody to CKR 1
-
货号:
P23335 -
别名:
C-C motif chemokine receptor 1; CKR1; CD191; CKR-1; HM145; CMKBR1; MIP1aR; SCYAR1 -
应用:
IHC -
反应种属:
Human -
抗体类型:
Primary antibody -
Swissprot:
P32246 -
规格:
-
数量:
-+ -
说明书:
目录价¥1980

Rabbit Polyclonal Antibody to CKR 1
Description |
---|
Receptor for a C-C type chemokine. |
Specification |
|
---|---|
Aliases | C-C motif chemokine receptor 1; CKR1; CD191; CKR-1; HM145; CMKBR1; MIP1aR; SCYAR1 |
Entrez GeneID | 1230 |
Swissprot | P32246 |
Host/Isotype | Rabbit IgG |
Antibody Type | Primary antibody |
Storage | Store at 4°C short term. Aliquot and store at -20°C long term. Avoid freeze/thaw cycles. |
Species Reactivity | Human |
Immunogen | Synthetic peptide from human protein at AA range: 151-200 |
Formulation | Purified antibody in PBS with 0.05% sodium azide,0.5%BSA and 50% glycerol. |
Application |
|
---|---|
IHC | 1/50-1/100 |
ELISA | 1/10000 |
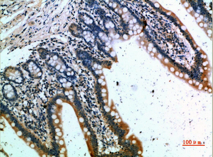
Product Image
- Immunohistochemical analysis of paraffin-embedded Human tonsils using CKR 1 antibody.High-pressure and temperature Sodium Citrate pH 6.0 was used for antigen retrieval.
- Immunohistochemistry analysis of paraffin-embedded Human smallintestine using CKR 1 antibody.High-pressure and temperature Sodium Citrate pH 6.0 was used for antigen retrieval.
For Reseach Only
Application Key:WB - Western Blot | IHC - Immunohistochemistry | ICC - Immunocytochemistry | FCM - Flow Cytometry | ELISA - Enzyme-linked Immunosorbent Assay | IP - Immunoprecipitation
#P23335

相关产品


