提醒成功

搜索
Rabbit Polyclonal Antibody to CD179b
-
货号:
P23326 -
别名:
IGLL1; IGL1; Immunoglobulin lambda-like polypeptide 1; CD179 antigen-like family member B; Ig lambda-5; Immunoglobulin omega polypeptide; Immunoglobulin-related protein 14.1; CD179b -
应用:
WB,IHC -
反应种属:
Human -
抗体类型:
Primary antibody -
Swissprot:
P15814 -
规格:
-
数量:
-+ -
说明书:
目录价¥1980

Rabbit Polyclonal Antibody to CD179b
Description |
---|
Critical for B-cell development. |
Specification |
|
---|---|
Aliases | IGLL1; IGL1; Immunoglobulin lambda-like polypeptide 1; CD179 antigen-like family member B; Ig lambda-5; Immunoglobulin omega polypeptide; Immunoglobulin-related protein 14.1; CD179b |
Entrez GeneID | 3543 |
Swissprot | P15814 |
WB Predicted band size | Calculated MW: 23 kDa; Observed MW: 23 kDa |
Host/Isotype | Rabbit IgG |
Antibody Type | Primary antibody |
Storage | Store at 4°C short term. Aliquot and store at -20°C long term. Avoid freeze/thaw cycles. |
Species Reactivity | Human |
Immunogen | The antiserum was produced against synthesized peptide derived from the C-terminal region of human IGLL1. AA range:151-200 |
Formulation | Purified antibody in PBS with 0.05% sodium azide,0.5%BSA and 50% glycerol. |
Application |
|
---|---|
WB | 1/500-1/1000 |
IHC | 1/50-1/100 |
ELISA | 1/10000 |
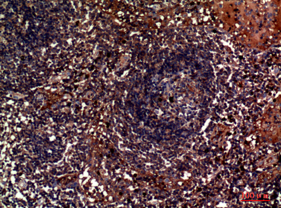
Product Image
For Reseach Only
Application Key:WB - Western Blot | IHC - Immunohistochemistry | ICC - Immunocytochemistry | FCM - Flow Cytometry | ELISA - Enzyme-linked Immunosorbent Assay | IP - Immunoprecipitation
#P23326

相关产品


