提醒成功

搜索
Rabbit Polyclonal Antibody to CRTH2
-
货号:
P23276 -
别名:
PTGDR2; CRTH2; DL1R; GPR44; Prostaglandin D2 receptor 2; Chemoattractant receptor-homologous molecule expressed on Th2 cells; G-protein coupled receptor 44; CD294 -
应用:
WB,IHC -
反应种属:
Human,Mouse -
抗体类型:
Primary antibody -
Swissprot:
Q9Y5Y4 -
规格:
-
数量:
-+ -
说明书:
目录价¥1980

Rabbit Polyclonal Antibody to CRTH2
Description |
---|
Receptor for prostaglandin D2 (PGD2). |
Specification |
|
---|---|
Aliases | PTGDR2; CRTH2; DL1R; GPR44; Prostaglandin D2 receptor 2; Chemoattractant receptor-homologous molecule expressed on Th2 cells; G-protein coupled receptor 44; CD294 |
Entrez GeneID | 11251 |
Swissprot | Q9Y5Y4 |
WB Predicted band size | Calculated MW: 43 kDa; Observed MW: 43 kDa |
Host/Isotype | Rabbit IgG |
Antibody Type | Primary antibody |
Storage | Store at 4°C short term. Aliquot and store at -20°C long term. Avoid freeze/thaw cycles. |
Species Reactivity | Human,Mouse |
Immunogen | The antiserum was produced against synthesized peptide derived from the Internal region of human PTGDR2. AA range:161-210 |
Formulation | Purified antibody in PBS with 0.05% sodium azide,0.5%BSA and 50% glycerol. |
Application |
|
---|---|
WB | 1/500-1/1000 |
IHC | 1/50-1/100 |
ELISA | 1/10000 |
Product Image
- Western blot analysis of CRTH2 in 293 lysates using CRTH2 antibody.
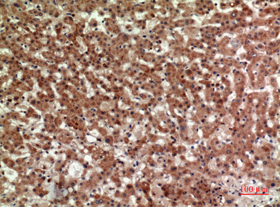
- Immunohistochemistry analysis of paraffin-embedded Human liver using CRTH2 antibody.High-pressure and temperature Sodium Citrate pH 6.0 was used for antigen retrieval.
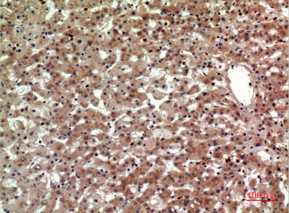
- Immunohistochemistry analysis of paraffin-embedded Human liver using CRTH2 antibody. High-pressure and temperature Sodium Citrate pH 6.0 was used for antigen retrieval.
For Reseach Only
Application Key:WB - Western Blot | IHC - Immunohistochemistry | ICC - Immunocytochemistry | FCM - Flow Cytometry | ELISA - Enzyme-linked Immunosorbent Assay | IP - Immunoprecipitation
#P23276

相关产品


