提醒成功

搜索
Rabbit Polyclonal Antibody to FGF20
-
货号:
P23271 -
别名:
FGF20; Fibroblast growth factor 20; FGF-20 -
应用:
WB,IHC -
反应种属:
Human,Mouse,Rat -
抗体类型:
Primary antibody -
Swissprot:
Q9NP95 -
规格:
-
数量:
-+ -
说明书:
目录价¥1980

Rabbit Polyclonal Antibody to FGF20
Description |
---|
The protein encoded by this gene is a member of the fibroblast growth factor family. The fibroblast growth factors possess broad mitogenic and cell survival activities, and are involved in a variety of biological processes including embryonic development, cell growth, morphogenesis, tissue repair, tumor growth and invasion. This gene product is a secreted neurotrophic factor but lacks a typical signal peptide. It is expressed in normal brain, particularly the cerebellum, and may regulate central nervous system development and function. Homodimerization of this protein was shown to regulate its receptor binding activity and concentration gradient in the extracellular matrix. Genetic variations of this gene have been associated with Parkinson disease susceptibility. |
Specification |
|
---|---|
Aliases | FGF20; Fibroblast growth factor 20; FGF-20 |
Entrez GeneID | 26281 |
Swissprot | Q9NP95 |
WB Predicted band size | Calculated MW: 23 kDa; Observed MW: 23 kDa |
Host/Isotype | Rabbit IgG |
Antibody Type | Primary antibody |
Storage | Store at 4°C short term. Aliquot and store at -20°C long term. Avoid freeze/thaw cycles. |
Species Reactivity | Human,Mouse,Rat |
Immunogen | The antiserum was produced against synthesized peptide derived from the Internal region of human FGF20. AA range:151-200 |
Formulation | Purified antibody in PBS with 0.05% sodium azide,0.5%BSA and 50% glycerol. |
Application |
|
---|---|
WB | 1/500-1/1000 |
IHC | 1/50-1/100 |
ELISA | 1/10000 |
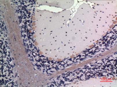
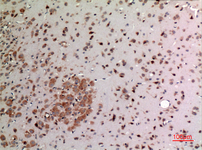
Product Image
- Western blot analysis of FGF20 in SW480, MCF-7, HL-60, BT474, mouse colon lysates using FGF20 antibody.
- Immunohistochemistry analysis of paraffin-embedded rat brain using FGF20 antibody.High-pressure and temperature Sodium Citrate pH 6.0 was used for antigen retrieval.
- Immunohistochemistry analysis of paraffin-embedded rat brain using FGF20 antibody. High-pressure and temperature Sodium Citrate pH 6.0 was used for antigen retrieval.
For Reseach Only
Application Key:WB - Western Blot | IHC - Immunohistochemistry | ICC - Immunocytochemistry | FCM - Flow Cytometry | ELISA - Enzyme-linked Immunosorbent Assay | IP - Immunoprecipitation
#P23271

相关产品


