提醒成功

搜索
Rabbit Polyclonal Antibody to OX40L
-
货号:
P23258 -
别名:
TNFSF4; TXGP1; Tumor necrosis factor ligand superfamily member 4; Glycoprotein Gp34; OX40 ligand; OX40L; TAX transcriptionally-activated glycoprotein 1; CD antigen CD252 -
应用:
WB,IHC -
反应种属:
Human -
抗体类型:
Primary antibody -
Swissprot:
P23510 -
规格:
-
数量:
-+ -
说明书:
目录价¥1980

Rabbit Polyclonal Antibody to OX40L
Description |
---|
This gene encodes a cytokine of the tumor necrosis factor (TNF) ligand family. The encoded protein functions in T cell antigen-presenting cell (APC) interactions and mediates adhesion of activated T cells to endothelial cells. Polymorphisms in this gene have been associated with Sjogren's syndrome and systemic lupus erythematosus. Alternative splicing results in multiple transcript variants |
Specification |
|
---|---|
Aliases | TNFSF4; TXGP1; Tumor necrosis factor ligand superfamily member 4; Glycoprotein Gp34; OX40 ligand; OX40L; TAX transcriptionally-activated glycoprotein 1; CD antigen CD252 |
Entrez GeneID | 7292 |
Swissprot | P23510 |
WB Predicted band size | Calculated MW: 21 kDa; Observed MW: 21 kDa |
Host/Isotype | Rabbit IgG |
Antibody Type | Primary antibody |
Storage | Store at 4°C short term. Aliquot and store at -20°C long term. Avoid freeze/thaw cycles. |
Species Reactivity | Human |
Immunogen | The antiserum was produced against synthesized peptide derived from the Internal region of human TNFSF4. AA range:31-80 |
Formulation | Purified antibody in PBS with 0.05% sodium azide,0.5%BSA and 50% glycerol. |
Application |
|
---|---|
WB | 1/500-1/1000 |
IHC | 1/50-1/100 |
ELISA | 1/10000 |
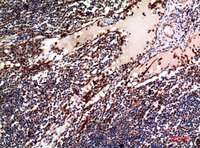
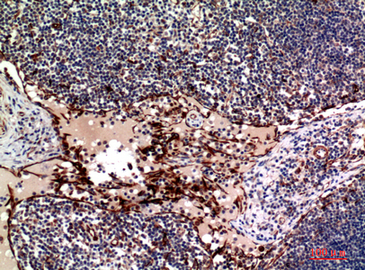
Product Image
- Western blot analysis of OX40L in KB lysates using OX40L antibody.
- Western blot analysis of OX40L in KB lysates using Ox40L antibody.
- Immunohistochemistry analysis of paraffin-embedded Human lymph using OX40L antibody. High-pressure and temperature Sodium Citrate pH 6.0 was used for antigen retrieval.
- Immunohistochemistry analysis of paraffin-embedded Human lymph using OX40L antibody.High-pressure and temperature Sodium Citrate pH 6.0 was used for antigen retrieval.
For Reseach Only
Application Key:WB - Western Blot | IHC - Immunohistochemistry | ICC - Immunocytochemistry | FCM - Flow Cytometry | ELISA - Enzyme-linked Immunosorbent Assay | IP - Immunoprecipitation
#P23258

相关产品


