提醒成功

搜索
Rabbit Polyclonal Antibody to PPP1R15B
-
货号:
P23256 -
别名:
PPP1R15B; Protein phosphatase 1 regulatory subunit 15B -
应用:
WB,IHC -
反应种属:
Human -
抗体类型:
Primary antibody -
Swissprot:
Q5SWA1 -
规格:
-
数量:
-+ -
说明书:
目录价¥1980

Rabbit Polyclonal Antibody to PPP1R15B
Description |
---|
Maintains low levels of EIF2S1 phosphorylation in unstressed cells by promoting its dephosphorylation by PP1. |
Specification |
|
---|---|
Aliases | PPP1R15B; Protein phosphatase 1 regulatory subunit 15B |
Entrez GeneID | 84919 |
Swissprot | Q5SWA1 |
WB Predicted band size | Calculated MW: 79 kDa; Observed MW: 79 kDa |
Host/Isotype | Rabbit IgG |
Antibody Type | Primary antibody |
Storage | Store at 4°C short term. Aliquot and store at -20°C long term. Avoid freeze/thaw cycles. |
Species Reactivity | Human |
Immunogen | The antiserum was produced against synthesized peptide derived from the Internal region of human PPP1R15B. AA range:411-460 |
Formulation | Purified antibody in PBS with 0.05% sodium azide,0.5%BSA and 50% glycerol. |
Application |
|
---|---|
WB | 1/500-1/1000 |
IHC | 1/50-1/100 |
ELISA | 1/10000 |
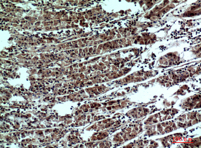
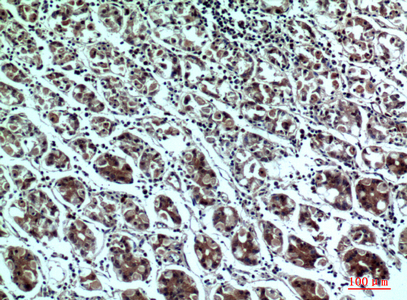
Product Image
- Western blot analysis of PPP1R15B in NIH3T3 lysates using PPP1R15B antibody.
- Immunohistochemistry analysis of paraffin-embedded Human liver using PPP1R15B antibody.High-pressure and temperature Sodium Citrate pH 6.0 was used for antigen retrieval.
- Immunohistochemistry analysis of paraffin-embedded Human stomach using PPP1R15B antibody. High-pressure and temperature Sodium Citrate pH 6.0 was used for antigen retrieval.
- Immunohistochemistry analysis of paraffin-embedded Human stomach using PPP1R15B antibody.High-pressure and temperature Sodium Citrate pH 6.0 was used for antigen retrieval.
For Reseach Only
Application Key:WB - Western Blot | IHC - Immunohistochemistry | ICC - Immunocytochemistry | FCM - Flow Cytometry | ELISA - Enzyme-linked Immunosorbent Assay | IP - Immunoprecipitation
#P23256

相关产品


