提醒成功

搜索
Rabbit Polyclonal Antibody to C4A/B
-
货号:
P23255 -
别名:
C4A; CO4; CPAMD2; Complement C4-A; Acidic complement C4; C3 and PZP-like alpha-2-macroglobulin domain-containing protein 2; C4B; CO4; CPAMD3; Complement C4-B; Basic complement C4; C3 and PZP-like alpha-2-macroglobulin domain-containing protein 3 -
应用:
WB,IHC -
反应种属:
Human -
抗体类型:
Primary antibody -
Swissprot:
P0C0L4/P0C0L5 -
规格:
-
数量:
-+ -
说明书:
目录价¥1980

Rabbit Polyclonal Antibody to C4A/B
Description |
---|
Induces the contraction of smooth muscle, increases vascular permeability and causes histamine release from mast cells and basophilic leukocytes. |
Specification |
|
---|---|
Aliases | C4A; CO4; CPAMD2; Complement C4-A; Acidic complement C4; C3 and PZP-like alpha-2-macroglobulin domain-containing protein 2; C4B; CO4; CPAMD3; Complement C4-B; Basic complement C4; C3 and PZP-like alpha-2-macroglobulin domain-containing protein 3 |
Entrez GeneID | 720/721 |
Swissprot | P0C0L4/P0C0L5 |
WB Predicted band size | Calculated MW: 193 kDa; Observed MW: 180 kDa |
Host/Isotype | Rabbit IgG |
Antibody Type | Primary antibody |
Storage | Store at 4°C short term. Aliquot and store at -20°C long term. Avoid freeze/thaw cycles. |
Species Reactivity | Human |
Immunogen | The antiserum was produced against synthesized peptide derived from the Internal region of human C4A/C4B. AA range:721-770 |
Formulation | Purified antibody in PBS with 0.05% sodium azide,0.5%BSA and 50% glycerol. |
Application |
|
---|---|
WB | 1/500-1/1000 |
IHC | 1/50-1/100 |
ELISA | 1/10000 |
Product Image
- Western blot analysis of C4A/B in AD293 lysates using C4A/B antibody.
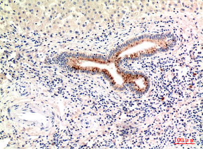
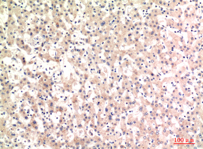
- Immunohistochemistry analysis of paraffin-embedded Human liver using C4A/B antibody.High-pressure and temperature Sodium Citrate pH 6.0 was used for antigen retrieval.
- Immunohistochemistry analysis of paraffin-embedded Human liver using C4A/B antibody. High-pressure and temperature Sodium Citrate pH 6.0 was used for antigen retrieval.
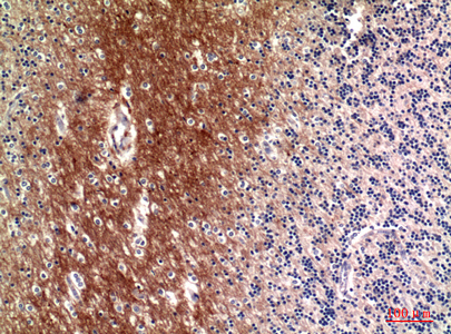
- Immunohistochemistry analysis of paraffin-embedded Human brain using C4A/B antibody.High-pressure and temperature Sodium Citrate pH 6.0 was used for antigen retrieval.
For Reseach Only
Application Key:WB - Western Blot | IHC - Immunohistochemistry | ICC - Immunocytochemistry | FCM - Flow Cytometry | ELISA - Enzyme-linked Immunosorbent Assay | IP - Immunoprecipitation
#P23255

相关产品


