提醒成功

搜索
Rabbit Polyclonal Antibody to Collagen V alpha 2
-
货号:
P23254 -
别名:
COL5A2; Collagen alpha-2(V) chain -
应用:
WB,IHC -
反应种属:
Human -
抗体类型:
Primary antibody -
Swissprot:
P05997 -
规格:
-
数量:
-+ -
说明书:
目录价¥1980

Rabbit Polyclonal Antibody to Collagen V alpha 2
Description |
---|
Type V collagen is a member of group I collagen (fibrillar forming collagen). |
Specification |
|
---|---|
Aliases | COL5A2; Collagen alpha-2(V) chain |
Entrez GeneID | 1290 |
Swissprot | P05997 |
WB Predicted band size | Calculated MW: 145 kDa; Observed MW: 145 kDa |
Host/Isotype | Rabbit IgG |
Antibody Type | Primary antibody |
Storage | Store at 4°C short term. Aliquot and store at -20°C long term. Avoid freeze/thaw cycles. |
Species Reactivity | Human |
Immunogen | The antiserum was produced against synthesized peptide derived from the N-terminal region of human COL5A2. AA range:1-50 |
Formulation | Purified antibody in PBS with 0.05% sodium azide,0.5%BSA and 50% glycerol. |
Application |
|
---|---|
WB | 1/500-1/1000 |
IHC | 1/50-1/100 |
ELISA | 1/10000 |
Product Image
- Western blot analysis of Collagen V alpha 2 in HepG2 lysates using Collagen V alpha 2 antibody.
- Immunohistochemistry analysis of paraffin-embedded Human pancreas using Collagen V alpha 2 antibody.High-pressure and temperature Sodium Citrate pH 6.0 was used for antigen retrieval.
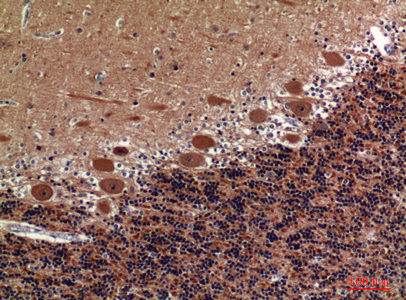
- Immunohistochemistry analysis of paraffin-embedded Human brain using Collagen V alpha 2 antibody. High-pressure and temperature Sodium Citrate pH 6.0 was used for antigen retrieval.
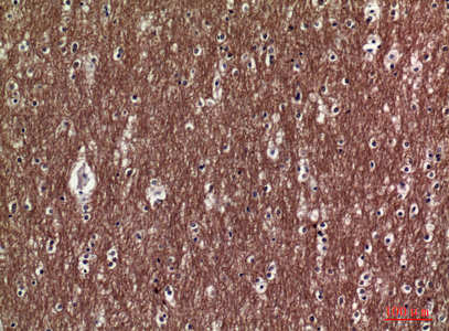
- Immunohistochemistry analysis of paraffin-embedded Human brain using Collagen V alpha 2 antibody.High-pressure and temperature Sodium Citrate pH 6.0 was used for antigen retrieval.
For Reseach Only
Application Key:WB - Western Blot | IHC - Immunohistochemistry | ICC - Immunocytochemistry | FCM - Flow Cytometry | ELISA - Enzyme-linked Immunosorbent Assay | IP - Immunoprecipitation
#P23254

相关产品


