提醒成功

搜索
Rabbit Polyclonal Antibody to IGFBP3
-
货号:
P23253 -
别名:
IGFBP3; IBP3; Insulin-like growth factor-binding protein 3; IBP-3; IGF-binding protein 3; IGFBP-3 -
应用:
WB,IHC -
反应种属:
Human,Mouse,Rat -
抗体类型:
Primary antibody -
Swissprot:
P17936 -
规格:
-
数量:
-+ -
说明书:
目录价¥1980

Rabbit Polyclonal Antibody to IGFBP3
Description |
---|
IGF-binding proteins prolong the half-life of the IGFs and have been shown to either inhibit or stimulate the growth promoting effects of the IGFs on cell culture. |
Specification |
|
---|---|
Aliases | IGFBP3; IBP3; Insulin-like growth factor-binding protein 3; IBP-3; IGF-binding protein 3; IGFBP-3 |
Entrez GeneID | 3486 |
Swissprot | P17936 |
WB Predicted band size | Calculated MW: 32 kDa; Observed MW: 32 kDa |
Host/Isotype | Rabbit IgG |
Antibody Type | Primary antibody |
Storage | Store at 4°C short term. Aliquot and store at -20°C long term. Avoid freeze/thaw cycles. |
Species Reactivity | Human,Mouse,Rat |
Immunogen | The antiserum was produced against synthesized peptide derived from the Internal region of human IGFBP3. AA range:211-260 |
Formulation | Purified antibody in PBS with 0.05% sodium azide,0.5%BSA and 50% glycerol. |
Application |
|
---|---|
WB | 1/500-1/1000 |
IHC | 1/50-1/100 |
ELISA | 1/10000 |
Product Image
- Western blot analysis of IGFBP3 in HeLa, HepG2 lysates using IGFBP3 antibody.
- Western blot analysis of IGFBP3 in mosue brian lysates using IGFBP3 antibody.
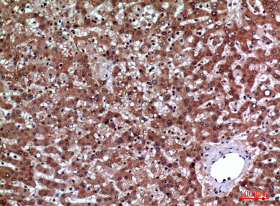
- Immunohistochemistry analysis of paraffin-embedded Human liver using IGFBP3 antibody.High-pressure and temperature Sodium Citrate pH 6.0 was used for antigen retrieval.
- Immunohistochemistry analysis of paraffin-embedded Human kidney using IGFBP3 antibody. High-pressure and temperature Sodium Citrate pH 6.0 was used for antigen retrieval.
For Reseach Only
Application Key:WB - Western Blot | IHC - Immunohistochemistry | ICC - Immunocytochemistry | FCM - Flow Cytometry | ELISA - Enzyme-linked Immunosorbent Assay | IP - Immunoprecipitation
#P23253

相关产品


