提醒成功

搜索
Rabbit Polyclonal Antibody to HLA DQB1/2
-
货号:
P23252 -
别名:
HLA-DQB1; HLA-DQB; HLA class II histocompatibility antigen; DQ beta 1 chain; MHC class II antigen DQB1; HLA-DQB2; HLA-DXB; HLA class II histocompatibility antigen; DQ beta 2 chainHLA class II histocompatibility antigen; DX beta chain; MHC class II antigen DQB2 -
应用:
WB,IHC -
反应种属:
Human -
抗体类型:
Primary antibody -
Swissprot:
P01920/P05538 -
规格:
-
数量:
-+ -
说明书:
目录价¥1980

Rabbit Polyclonal Antibody to HLA DQB1/2
Description |
---|
Binds peptides derived from antigens that access the endocytic route of antigen presenting cells (APC) and presents them on the cell surface for recognition by the CD4 T-cells. The peptide binding cleft accommodates peptides of 10-30 residues. The peptides presented by MHC class II molecules are generated mostly by degradation of proteins that access the endocytic route, where they are processed by lysosomal proteases and other hydrolases. |
Specification |
|
---|---|
Aliases | HLA-DQB1; HLA-DQB; HLA class II histocompatibility antigen; DQ beta 1 chain; MHC class II antigen DQB1; HLA-DQB2; HLA-DXB; HLA class II histocompatibility antigen; DQ beta 2 chainHLA class II histocompatibility antigen; DX beta chain; MHC class II antigen DQB2 |
Entrez GeneID | 3119/3120 |
Swissprot | P01920/P05538 |
WB Predicted band size | Calculated MW: 30 kDa; Observed MW: 30 kDa |
Host/Isotype | Rabbit IgG |
Antibody Type | Primary antibody |
Storage | Store at 4°C short term. Aliquot and store at -20°C long term. Avoid freeze/thaw cycles. |
Species Reactivity | Human |
Immunogen | The antiserum was produced against synthesized peptide derived from the Internal region of human HLA-DQB1/HLA-DQB2. AA range:131-180 |
Formulation | Purified antibody in PBS with 0.05% sodium azide,0.5%BSA and 50% glycerol. |
Application |
|
---|---|
WB | 1/500-1/1000 |
IHC | 1/50-1/100 |
ELISA | 1/10000 |
Product Image
- Western blot analysis of HLA DQB1/2 in PC-12 lysates using HLA DQB1/2 antibody.
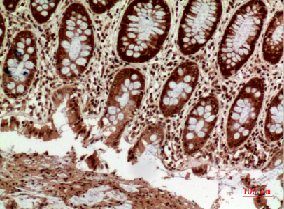
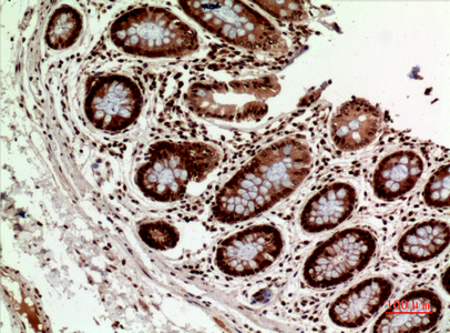
- Immunohistochemistry analysis of paraffin-embedded Human colon using HLA DQB1/2 antibody.High-pressure and temperature Sodium Citrate pH 6.0 was used for antigen retrieval.
- Immunohistochemistry analysis of paraffin-embedded Human colon using HLA DQB1/2 antibody. High-pressure and temperature Sodium Citrate pH 6.0 was used for antigen retrieval.
- Immunohistochemistry analysis of paraffin-embedded Human spleen using HLA DQB1/2 antibody.High-pressure and temperature Sodium Citrate pH 6.0 was used for antigen retrieval.
For Reseach Only
Application Key:WB - Western Blot | IHC - Immunohistochemistry | ICC - Immunocytochemistry | FCM - Flow Cytometry | ELISA - Enzyme-linked Immunosorbent Assay | IP - Immunoprecipitation
#P23252

相关产品


