提醒成功

搜索
Rabbit Polyclonal Antibody to FMO3
-
货号:
P23251 -
别名:
FMO3; Dimethylaniline monooxygenase [N-oxide-forming] 3; Dimethylaniline oxidase 3; FMO II; FMO form 2; Hepatic flavin-containing monooxygenase 3; FMO 3; Trimethylamine monooxygenase -
应用:
WB,IHC -
反应种属:
Human -
抗体类型:
Primary antibody -
Swissprot:
P31513 -
规格:
-
数量:
-+ -
说明书:
目录价¥1980

Rabbit Polyclonal Antibody to FMO3
Description |
---|
Involved in the oxidative metabolism of a variety of xenobiotics such as drugs and pesticides. It N-oxygenates primary aliphatic alkylamines as well as secondary and tertiary amines. |
Specification |
|
---|---|
Aliases | FMO3; Dimethylaniline monooxygenase [N-oxide-forming] 3; Dimethylaniline oxidase 3; FMO II; FMO form 2; Hepatic flavin-containing monooxygenase 3; FMO 3; Trimethylamine monooxygenase |
Entrez GeneID | 2328 |
Swissprot | P31513 |
WB Predicted band size | Calculated MW: 60 kDa; Observed MW: 60 kDa |
Host/Isotype | Rabbit IgG |
Antibody Type | Primary antibody |
Storage | Store at 4°C short term. Aliquot and store at -20°C long term. Avoid freeze/thaw cycles. |
Species Reactivity | Human |
Immunogen | The antiserum was produced against synthesized peptide derived from the Internal region of human FMO3. AA range:101-150 |
Formulation | Purified antibody in PBS with 0.05% sodium azide,0.5%BSA and 50% glycerol. |
Application |
|
---|---|
WB | 1/500-1/1000 |
IHC | 1/50-1/100 |
ELISA | 1/10000 |
Product Image
- Western blot analysis of FMO3 in HeLa lysates using FMO3 antibody.
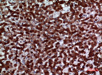
- Immunohistochemistry analysis of paraffin-embedded Human liver using FMO3 antibody.High-pressure and temperature Sodium Citrate pH 6.0 was used for antigen retrieval.
- Immunohistochemistry analysis of paraffin-embedded Human liver using FMO3 antibody. High-pressure and temperature Sodium Citrate pH 6.0 was used for antigen retrieval.
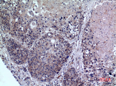
- Immunohistochemistry analysis of paraffin-embedded Human lung using FMO3 antibody.High-pressure and temperature Sodium Citrate pH 6.0 was used for antigen retrieval.
For Reseach Only
Application Key:WB - Western Blot | IHC - Immunohistochemistry | ICC - Immunocytochemistry | FCM - Flow Cytometry | ELISA - Enzyme-linked Immunosorbent Assay | IP - Immunoprecipitation
#P23251

相关产品


