提醒成功

搜索
Rabbit Polyclonal Antibody to BMAL1
-
货号:
P23250 -
别名:
ARNTL; BHLHE5; BMAL1; MOP3; PASD3; Aryl hydrocarbon receptor nuclear translocator-like protein 1; Basic-helix-loop-helix-PAS protein MOP3; Brain and muscle ARNT-like 1Class E basic helix-loop-helix protein 5; bHLHe5; Member of PAS protein 3; PAS domain-containing protein 3; bHLH-PAS protein JAP3 -
应用:
WB,IHC -
反应种属:
Human,Mouse,Rat -
抗体类型:
Primary antibody -
Swissprot:
O00327 -
规格:
-
数量:
-+ -
说明书:
目录价¥1980

Rabbit Polyclonal Antibody to BMAL1
Description |
---|
The cellular circadian clockwork consists of interwoven positive and negative regulatory loops, or limbs (1,2). The positive limb includes the CLOCK and BMAL1 proteins, two basic helix-loop-helix-PAS containing transcription factors that bind E box enhancer elements and activate transcription of their target genes. |
Specification |
|
---|---|
Aliases | ARNTL; BHLHE5; BMAL1; MOP3; PASD3; Aryl hydrocarbon receptor nuclear translocator-like protein 1; Basic-helix-loop-helix-PAS protein MOP3; Brain and muscle ARNT-like 1Class E basic helix-loop-helix protein 5; bHLHe5; Member of PAS protein 3; PAS domain-containing protein 3; bHLH-PAS protein JAP3 |
Entrez GeneID | 406 |
Swissprot | O00327 |
WB Predicted band size | Calculated MW: 69 kDa; Observed MW: 69 kDa |
Host/Isotype | Rabbit IgG |
Antibody Type | Primary antibody |
Storage | Store at 4°C short term. Aliquot and store at -20°C long term. Avoid freeze/thaw cycles. |
Species Reactivity | Human,Mouse,Rat |
Immunogen | The antiserum was produced against synthesized peptide derived from human BMAL1 around the non-acetylation site of Lys538. AA range:501-550 |
Formulation | Purified antibody in PBS with 0.05% sodium azide,0.5%BSA and 50% glycerol. |
Application |
|
---|---|
WB | 1/500-1/1000 |
IHC | 1/50-1/100 |
ELISA | 1/10000 |
Product Image
- Western blot analysis of BMAL1 in K562 lysates using BMAL1 antibody.
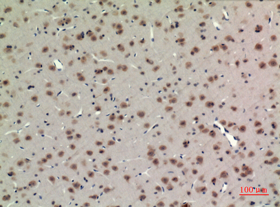
- Immunohistochemistry analysis of paraffin-embedded rat brain using BMAL1 antibody.High-pressure and temperature Sodium Citrate pH 6.0 was used for antigen retrieval.
- Immunohistochemistry analysis of paraffin-embedded rat brain using BMAL1 antibody. High-pressure and temperature Sodium Citrate pH 6.0 was used for antigen retrieval.
- Immunohistochemistry analysis of paraffin-embedded rat brain using BMAL1 antibody.High-pressure and temperature Sodium Citrate pH 6.0 was used for antigen retrieval.
For Reseach Only
Application Key:WB - Western Blot | IHC - Immunohistochemistry | ICC - Immunocytochemistry | FCM - Flow Cytometry | ELISA - Enzyme-linked Immunosorbent Assay | IP - Immunoprecipitation
#P23250

相关产品


