提醒成功

搜索
Rabbit Polyclonal Antibody to Laminin gamma 2
-
货号:
P23249 -
别名:
LAMC2; LAMB2T; LAMNB2; Laminin subunit gamma-2; Cell-scattering factor 140 kDa subunit; CSF 140 kDa subunit; Epiligrin subunit gamma; Kalinin subunit gamma; Kalinin/nicein/epiligrin 100 kDa subunitLadsin 140 kDa subunit; Laminin B2t chain; Laminin-5 subunit gamma; Large adhesive scatter factor 140 kDa subunit; Nicein subunit gamma -
应用:
WB,IHC -
反应种属:
Human,Rat -
抗体类型:
Primary antibody -
Swissprot:
Q13753 -
规格:
-
数量:
-+ -
说明书:
目录价¥1980

Rabbit Polyclonal Antibody to Laminin gamma 2
Description |
---|
Binding to cells via a high affinity receptor, laminin is thought to mediate the attachment, migration and organization of cells into tissues during embryonic development by interacting with other extracellular matrix components. |
Specification |
|
---|---|
Aliases | LAMC2; LAMB2T; LAMNB2; Laminin subunit gamma-2; Cell-scattering factor 140 kDa subunit; CSF 140 kDa subunit; Epiligrin subunit gamma; Kalinin subunit gamma; Kalinin/nicein/epiligrin 100 kDa subunitLadsin 140 kDa subunit; Laminin B2t chain; Laminin-5 subunit gamma; Large adhesive scatter factor 140 kDa subunit; Nicein subunit gamma |
Entrez GeneID | 3918 |
Swissprot | Q13753 |
WB Predicted band size | Calculated MW: 131 kDa; Observed MW: 135 kDa |
Host/Isotype | Rabbit IgG |
Antibody Type | Primary antibody |
Storage | Store at 4°C short term. Aliquot and store at -20°C long term. Avoid freeze/thaw cycles. |
Species Reactivity | Human,Rat |
Immunogen | The antiserum was produced against synthesized peptide derived from the C-terminal region of human LAMC2. AA range:1021-1070 |
Formulation | Purified antibody in PBS with 0.05% sodium azide,0.5%BSA and 50% glycerol. |
Application |
|
---|---|
WB | 1/500-1/1000 |
IHC | 1/50-1/100 |
ELISA | 1/10000 |
Product Image
- Western blot analysis of Laminin gamma 2 in K562 lysates using Laminin gamma 2 antibody.
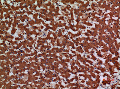
- Immunohistochemistry analysis of paraffin-embedded Human liver using Laminin gamma 2 antibody.High-pressure and temperature Sodium Citrate pH 6.0 was used for antigen retrieval.
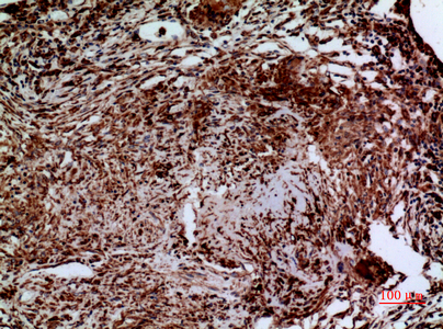
- Immunohistochemistry analysis of paraffin-embedded Human lung using Laminin gamma 2 antibody. High-pressure and temperature Sodium Citrate pH 6.0 was used for antigen retrieval.
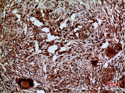
- Immunohistochemistry analysis of paraffin-embedded Human lung using Laminin gamma 2 antibody.High-pressure and temperature Sodium Citrate pH 6.0 was used for antigen retrieval.
For Reseach Only
Application Key:WB - Western Blot | IHC - Immunohistochemistry | ICC - Immunocytochemistry | FCM - Flow Cytometry | ELISA - Enzyme-linked Immunosorbent Assay | IP - Immunoprecipitation
#P23249

相关产品


