提醒成功

搜索
Rabbit Polyclonal Antibody to SLC10A1
-
货号:
P23248 -
别名:
SLC10A1; NTCP; GIG29; Sodium/bile acid cotransporter; Cell growth-inhibiting gene 29 protein; Na(+)/bile acid cotransporter; Na(+)/taurocholate transport protein; Sodium/taurocholate cotransporting polypeptide; Solute carrier family 10 member 1; NTCP1 -
应用:
WB,IHC -
反应种属:
Human -
抗体类型:
Primary antibody -
Swissprot:
Q14973 -
规格:
-
数量:
-+ -
说明书:
目录价¥1980

Rabbit Polyclonal Antibody to SLC10A1
Description |
---|
As a major transporter of conjugated bile salts from plasma into the hepatocyte, it has a key role in the enterohepatic circulation of bile salts necessary for the solubilization and absorption of dietary fat and fat-soluble vitamins. |
Specification |
|
---|---|
Aliases | SLC10A1; NTCP; GIG29; Sodium/bile acid cotransporter; Cell growth-inhibiting gene 29 protein; Na(+)/bile acid cotransporter; Na(+)/taurocholate transport protein; Sodium/taurocholate cotransporting polypeptide; Solute carrier family 10 member 1; NTCP1 |
Entrez GeneID | 6554 |
Swissprot | Q14973 |
WB Predicted band size | Calculated MW: 38 kDa; Observed MW: 38 kDa |
Host/Isotype | Rabbit IgG |
Antibody Type | Primary antibody |
Storage | Store at 4°C short term. Aliquot and store at -20°C long term. Avoid freeze/thaw cycles. |
Species Reactivity | Human |
Immunogen | The antiserum was produced against synthesized peptide derived from the C-terminal region of human SLC10A1. AA range:281-330 |
Formulation | Purified antibody in PBS with 0.05% sodium azide,0.5%BSA and 50% glycerol. |
Application |
|
---|---|
WB | 1/500-1/1000 |
IHC | 1/50-1/100 |
ELISA | 1/10000 |
Product Image
- Western blot analysis of SLC10A1 in A549 lysates using SLC10A1 antibody.
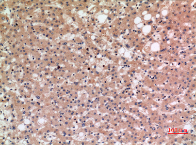
- Immunohistochemistry analysis of paraffin-embedded Human liver using SLC10A1 antibody.High-pressure and temperature Sodium Citrate pH 6.0 was used for antigen retrieval.
- Immunohistochemistry analysis of paraffin-embedded Human liver using SLC10A1 antibody. High-pressure and temperature Sodium Citrate pH 6.0 was used for antigen retrieval.
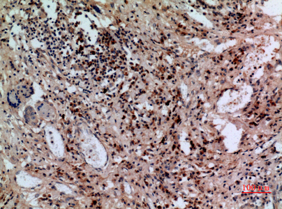
- Immunohistochemistry analysis of paraffin-embedded Human lung using SLC10A1 antibody.High-pressure and temperature Sodium Citrate pH 6.0 was used for antigen retrieval.
For Reseach Only
Application Key:WB - Western Blot | IHC - Immunohistochemistry | ICC - Immunocytochemistry | FCM - Flow Cytometry | ELISA - Enzyme-linked Immunosorbent Assay | IP - Immunoprecipitation
#P23248

相关产品


