提醒成功

搜索
Rabbit Polyclonal Antibody to NTE
-
货号:
P23247 -
别名:
PNPLA6; NTE; Neuropathy target esterase; Patatin-like phospholipase domain-containing protein 6 -
应用:
WB,IHC -
反应种属:
Human,Mouse,Rat -
抗体类型:
Primary antibody -
Swissprot:
Q8IY17 -
规格:
-
数量:
-+ -
说明书:
目录价¥1980

Rabbit Polyclonal Antibody to NTE
Description |
---|
Phospholipase B that deacylates intracellular phosphatidylcholine (PtdCho), generating glycerophosphocholine (GroPtdCho). |
Specification |
|
---|---|
Aliases | PNPLA6; NTE; Neuropathy target esterase; Patatin-like phospholipase domain-containing protein 6 |
Entrez GeneID | 10908 |
Swissprot | Q8IY17 |
WB Predicted band size | Calculated MW: 151 kDa; Observed MW: 151 kDa |
Host/Isotype | Rabbit IgG |
Antibody Type | Primary antibody |
Storage | Store at 4°C short term. Aliquot and store at -20°C long term. Avoid freeze/thaw cycles. |
Species Reactivity | Human,Mouse,Rat |
Immunogen | The antiserum was produced against synthesized peptide derived from the Internal region of human PNPLA6. AA range:1031-1080 |
Formulation | Purified antibody in PBS with 0.05% sodium azide,0.5%BSA and 50% glycerol. |
Application |
|
---|---|
WB | 1/500-1/1000 |
IHC | 1/50-1/100 |
ELISA | 1/10000 |
Product Image
- Western blot analysis of NTE in AD293 lysates using NTE antibody.
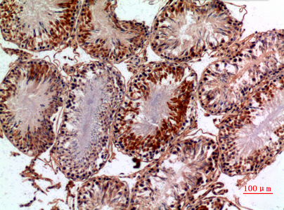
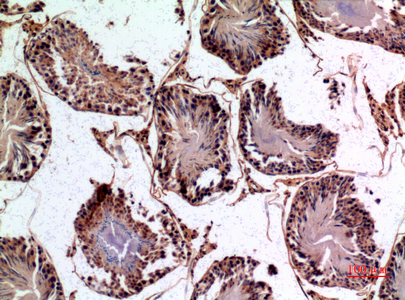
- Immunohistochemistry analysis of paraffin-embedded rat testis using NTE antibody.High-pressure and temperature Sodium Citrate pH 6.0 was used for antigen retrieval.
- Immunohistochemistry analysis of paraffin-embedded rat testis using NTE antibody. High-pressure and temperature Sodium Citrate pH 6.0 was used for antigen retrieval.
- Immunohistochemistry analysis of paraffin-embedded rat testis using NTE antibody.High-pressure and temperature Sodium Citrate pH 6.0 was used for antigen retrieval.
For Reseach Only
Application Key:WB - Western Blot | IHC - Immunohistochemistry | ICC - Immunocytochemistry | FCM - Flow Cytometry | ELISA - Enzyme-linked Immunosorbent Assay | IP - Immunoprecipitation
#P23247

相关产品


