提醒成功

搜索
Rabbit Polyclonal Antibody to KLF13
-
货号:
P23246 -
别名:
KLF13; BTEB3; NSLP1; Krueppel-like factor 13; Basic transcription element-binding protein 3; BTE-binding protein 3; Novel Sp1-like zinc finger transcription factor 1; RANTES factor of late activated T-lymphocytes 1; RFLAT-1; Transcription factor BTEB3; Transcription factor NSLP1 -
应用:
WB,IHC -
反应种属:
Human,Mouse -
抗体类型:
Primary antibody -
Swissprot:
Q9Y2Y9 -
规格:
-
数量:
-+ -
说明书:
目录价¥1980

Rabbit Polyclonal Antibody to KLF13
Description |
---|
Represses transcription by binding to the BTE site, a GC-rich DNA element, in competition with the activator SP1. |
Specification |
|
---|---|
Aliases | KLF13; BTEB3; NSLP1; Krueppel-like factor 13; Basic transcription element-binding protein 3; BTE-binding protein 3; Novel Sp1-like zinc finger transcription factor 1; RANTES factor of late activated T-lymphocytes 1; RFLAT-1; Transcription factor BTEB3; Transcription factor NSLP1 |
Entrez GeneID | 51621 |
Swissprot | Q9Y2Y9 |
WB Predicted band size | Calculated MW: 31 kDa; Observed MW: 31 kDa |
Host/Isotype | Rabbit IgG |
Antibody Type | Primary antibody |
Storage | Store at 4°C short term. Aliquot and store at -20°C long term. Avoid freeze/thaw cycles. |
Species Reactivity | Human,Mouse |
Immunogen | The antiserum was produced against synthesized peptide derived from human KLF13 around the non-acetylation site of Lys166. AA range:131-180 |
Formulation | Purified antibody in PBS with 0.05% sodium azide,0.5%BSA and 50% glycerol. |
Application |
|
---|---|
WB | 1/500-1/1000 |
IHC | 1/50-1/100 |
ELISA | 1/10000 |
Product Image
- Western blot analysis of KLF13 in L929 lysates using KLF13 antibody.
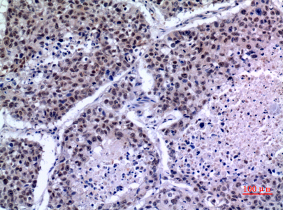
- Immunohistochemistry analysis of paraffin-embedded Human lung using KLF13 antibody.High-pressure and temperature Sodium Citrate pH 6.0 was used for antigen retrieval.
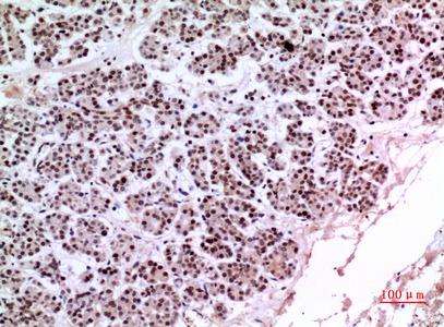
- Immunohistochemistry analysis of paraffin-embedded Human pancreas using KLF13 antibody. High-pressure and temperature Sodium Citrate pH 6.0 was used for antigen retrieval.
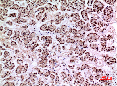
- Immunohistochemistry analysis of paraffin-embedded Human pancreas using KLF13 antibody.High-pressure and temperature Sodium Citrate pH 6.0 was used for antigen retrieval.
For Reseach Only
Application Key:WB - Western Blot | IHC - Immunohistochemistry | ICC - Immunocytochemistry | FCM - Flow Cytometry | ELISA - Enzyme-linked Immunosorbent Assay | IP - Immunoprecipitation
#P23246

相关产品


