提醒成功

搜索
Rabbit Polyclonal Antibody to CD1E
-
货号:
P23243 -
别名:
CD1E; T-cell surface glycoprotein CD1e; membrane-associated; hCD1e; R2G1; CD1e -
应用:
WB,IHC -
反应种属:
Human -
抗体类型:
Primary antibody -
Swissprot:
P15812 -
规格:
-
数量:
-+ -
说明书:
目录价¥1980

Rabbit Polyclonal Antibody to CD1E
Description |
---|
T-cell surface glycoprotein CD1e, soluble binds diacetylated lipids, including phosphatidyl inositides and diacylated sulfoglycolipids, and is required for the presentation of glycolipid antigens on the cell surface. |
Specification |
|
---|---|
Aliases | CD1E; T-cell surface glycoprotein CD1e; membrane-associated; hCD1e; R2G1; CD1e |
Entrez GeneID | 913 |
Swissprot | P15812 |
WB Predicted band size | Calculated MW: 44 kDa; Observed MW: 44 kDa |
Host/Isotype | Rabbit IgG |
Antibody Type | Primary antibody |
Storage | Store at 4°C short term. Aliquot and store at -20°C long term. Avoid freeze/thaw cycles. |
Species Reactivity | Human |
Immunogen | The antiserum was produced against synthesized peptide derived from the C-terminal region of human CD1E. AA range:321-370 |
Formulation | Purified antibody in PBS with 0.05% sodium azide,0.5%BSA and 50% glycerol. |
Application |
|
---|---|
WB | 1/500-1/1000 |
IHC | 1/50-1/100 |
ELISA | 1/10000 |
Product Image
- Western blot analysis of CD1E in K562 lysates using CD1E antibody.
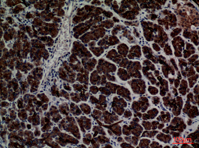
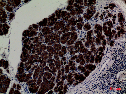
- Immunohistochemistry analysis of paraffin-embedded Human pancreas using CD1E antibody.High-pressure and temperature Sodium Citrate pH 6.0 was used for antigen retrieval.
- Immunohistochemistry analysis of paraffin-embedded Human pancreas using CD1E antibody. High-pressure and temperature Sodium Citrate pH 6.0 was used for antigen retrieval.
- Immunohistochemistry analysis of paraffin-embedded Human pancreas using CD1E antibody.High-pressure and temperature Sodium Citrate pH 6.0 was used for antigen retrieval.
For Reseach Only
Application Key:WB - Western Blot | IHC - Immunohistochemistry | ICC - Immunocytochemistry | FCM - Flow Cytometry | ELISA - Enzyme-linked Immunosorbent Assay | IP - Immunoprecipitation
#P23243

相关产品


