提醒成功

搜索
Rabbit Polyclonal Antibody to Apelin
-
货号:
P23242 -
别名:
APLN; APEL; Apelin; APJ endogenous ligand -
应用:
IHC -
反应种属:
Human,Mouse,Rat -
抗体类型:
Primary antibody -
Swissprot:
Q9ULZ1 -
规格:
-
数量:
-+ -
说明书:
目录价¥1980

Rabbit Polyclonal Antibody to Apelin
Description |
---|
Endogenous ligand for the apelin receptor (APLNR). |
Specification |
|
---|---|
Aliases | APLN; APEL; Apelin; APJ endogenous ligand |
Entrez GeneID | 8862 |
Swissprot | Q9ULZ1 |
Host/Isotype | Rabbit IgG |
Antibody Type | Primary antibody |
Storage | Store at 4°C short term. Aliquot and store at -20°C long term. Avoid freeze/thaw cycles. |
Species Reactivity | Human,Mouse,Rat |
Immunogen | The antiserum was produced against synthesized peptide derived from the C-terminal region of human APLN. AA range:28-77 |
Formulation | Purified antibody in PBS with 0.05% sodium azide,0.5%BSA and 50% glycerol. |
Application |
|
---|---|
IHC | 1/50-1/100 |
ELISA | 1/10000 |
Product Image
- Immunohistochemical analysis of paraffin-embedded Human tonsils using Apelin antibody.High-pressure and temperature Sodium Citrate pH 6.0 was used for antigen retrieval.
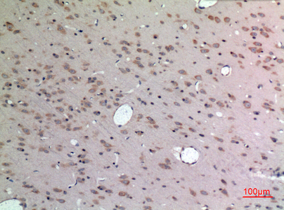
- Immunohistochemistry analysis of paraffin-embedded rat brain using Apelin antibody.High-pressure and temperature Sodium Citrate pH 6.0 was used for antigen retrieval.
- Immunohistochemistry analysis of paraffin-embedded rat brain using Apelin antibody.High-pressure and temperature Sodium Citrate pH 6.0 was used for antigen retrieval.
For Reseach Only
Application Key:WB - Western Blot | IHC - Immunohistochemistry | ICC - Immunocytochemistry | FCM - Flow Cytometry | ELISA - Enzyme-linked Immunosorbent Assay | IP - Immunoprecipitation
#P23242

相关产品


