提醒成功

搜索
Rabbit Polyclonal Antibody to alpha 1 Fetoprotein
-
货号:
P23241 -
别名:
Alpha-fetoprotein; Alpha-1-fetoprotein; Alpha-fetoglobulin -
应用:
WB,IHC -
反应种属:
Human -
抗体类型:
Primary antibody -
Swissprot:
P02771 -
规格:
-
数量:
-+ -
说明书:
目录价¥1980

Rabbit Polyclonal Antibody to alpha 1 Fetoprotein
Description |
---|
Alpha-fetoprotein (AFP) is a 65 kDa glycoprotein found in the mammalian fetal liver, yolk sac, and GI tract. In normal adult cells, p53 binds to the repressor region of the AFP gene, thereby blocking transcription. Mutations in both p53 and β-catenin are associated with aberrant expression of AFP. Research studies have shown that elevated serum AFP levels are predictive of hepatocellular carcinoma . |
Specification |
|
---|---|
Aliases | Alpha-fetoprotein; Alpha-1-fetoprotein; Alpha-fetoglobulin |
Entrez GeneID | 174 |
Swissprot | P02771 |
WB Predicted band size | Calculated MW: 69 kDa; Observed MW: 69 kDa |
Host/Isotype | Rabbit IgG |
Antibody Type | Primary antibody |
Storage | Store at 4°C short term. Aliquot and store at -20°C long term. Avoid freeze/thaw cycles. |
Species Reactivity | Human |
Immunogen | The antiserum was produced against synthesized peptide derived from the Internal region of human AFP. AA range:371-420 |
Formulation | Purified antibody in PBS with 0.05% sodium azide,0.5%BSA and 50% glycerol. |
Application |
|
---|---|
WB | 1/500-1/1000 |
IHC | 1/50-1/100 |
ELISA | 1/10000 |
Product Image
- Western blot analysis of alpha 1 Fetoprotein in mouse liver, mouse serum lysates using alpha 1 Fetoprotein antibody.
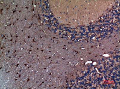
- Immunohistochemistry analysis of paraffin-embedded rat brain using alpha 1 Fetoprotein antibody.High-pressure and temperature Sodium Citrate pH 6.0 was used for antigen retrieval.
- Immunohistochemistry analysis of paraffin-embedded mouse brain using alpha 1 Fetoprotein antibody. High-pressure and temperature Sodium Citrate pH 6.0 was used for antigen retrieval.
- Immunohistochemistry analysis of paraffin-embedded mouse brain using alpha 1 Fetoprotein antibody.High-pressure and temperature Sodium Citrate pH 6.0 was used for antigen retrieval.
For Reseach Only
Application Key:WB - Western Blot | IHC - Immunohistochemistry | ICC - Immunocytochemistry | FCM - Flow Cytometry | ELISA - Enzyme-linked Immunosorbent Assay | IP - Immunoprecipitation
#P23241

相关产品


