提醒成功

搜索
Rabbit Polyclonal Antibody to FGL1
-
货号:
P23240 -
别名:
FGL1; HFREP1; Fibrinogen-like protein 1; HP-041; Hepassocin; Hepatocyte-derived fibrinogen-related protein 1; HFREP-1; Liver fibrinogen-related protein 1; LFIRE-1 -
应用:
WB,IHC -
反应种属:
Human,Mouse,Rat -
抗体类型:
Primary antibody -
Swissprot:
Q08830 -
规格:
-
数量:
-+ -
说明书:
目录价¥1980

Rabbit Polyclonal Antibody to FGL1
Description |
---|
Immune suppressive molecule that inhibits antigen-specific T-cell activation by acting as a major ligand of LAG3. |
Specification |
|
---|---|
Aliases | FGL1; HFREP1; Fibrinogen-like protein 1; HP-041; Hepassocin; Hepatocyte-derived fibrinogen-related protein 1; HFREP-1; Liver fibrinogen-related protein 1; LFIRE-1 |
Entrez GeneID | 2267 |
Swissprot | Q08830 |
WB Predicted band size | Calculated MW: 36 kDa; Observed MW: 36 kDa |
Host/Isotype | Rabbit IgG |
Antibody Type | Primary antibody |
Storage | Store at 4°C short term. Aliquot and store at -20°C long term. Avoid freeze/thaw cycles. |
Species Reactivity | Human,Mouse,Rat |
Immunogen | Synthesized peptide derived from the Internal region of human Hepassocin. |
Formulation | Purified antibody in PBS with 0.05% sodium azide,0.5%BSA and 50% glycerol. |
Application |
|
---|---|
WB | 1/500-1/1000 |
IHC | 1/50-1/100 |
ELISA | 1/10000 |
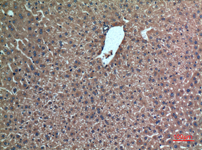
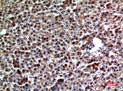
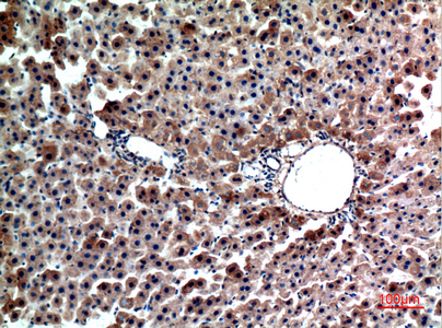
Product Image
- Western blot analysis of FGL1 in mouse liver lysates using FGL1 antibody.
- Immunohistochemistry analysis of paraffin-embedded rat liver using FGL1 antibody.High-pressure and temperature Sodium Citrate pH 6.0 was used for antigen retrieval.
- Immunohistochemistry analysis of paraffin-embedded rat liver using FGL1 antibody. High-pressure and temperature Sodium Citrate pH 6.0 was used for antigen retrieval.
- Immunohistochemistry analysis of paraffin-embedded mouse liver using FGL1 antibody.High-pressure and temperature Sodium Citrate pH 6.0 was used for antigen retrieval.
For Reseach Only
Application Key:WB - Western Blot | IHC - Immunohistochemistry | ICC - Immunocytochemistry | FCM - Flow Cytometry | ELISA - Enzyme-linked Immunosorbent Assay | IP - Immunoprecipitation
#P23240

相关产品


