提醒成功

搜索
Rabbit Polyclonal Antibody to Fractalkine Receptor
-
货号:
P23239 -
别名:
CX3CR1; CMKBRL1; GPR13; CX3C chemokine receptor 1; C-X3-C CKR-1; CX3CR1; Beta chemokine receptor-like 1; CMK-BRL-1; CMK-BRL1; Fractalkine receptor; G-protein coupled receptor 13; V28 -
应用:
WB,IHC -
反应种属:
Human,Mouse,Rat -
抗体类型:
Primary antibody -
Swissprot:
P49238 -
规格:
-
数量:
-+ -
说明书:
目录价¥1980

Rabbit Polyclonal Antibody to Fractalkine Receptor
Description |
---|
Receptor for the C-X3-C chemokine fractalkine (CX3CL1) present on many early leukocyte cells; CX3CR1-CX3CL1 signaling exerts distinct functions in different tissue compartments, such as immune response, inflammation, cell adhesion and chemotaxis. |
Specification |
|
---|---|
Aliases | CX3CR1; CMKBRL1; GPR13; CX3C chemokine receptor 1; C-X3-C CKR-1; CX3CR1; Beta chemokine receptor-like 1; CMK-BRL-1; CMK-BRL1; Fractalkine receptor; G-protein coupled receptor 13; V28 |
Entrez GeneID | 1524 |
Swissprot | P49238 |
WB Predicted band size | Calculated MW: 40 kDa; Observed MW: 40 kDa |
Host/Isotype | Rabbit IgG |
Antibody Type | Primary antibody |
Storage | Store at 4°C short term. Aliquot and store at -20°C long term. Avoid freeze/thaw cycles. |
Species Reactivity | Human,Mouse,Rat |
Immunogen | Synthesized peptide derived from Fractalkine Receptor . at AA range: 120-200 |
Formulation | Purified antibody in PBS with 0.05% sodium azide,0.5%BSA and 50% glycerol. |
Application |
|
---|---|
WB | 1/500-1/1000 |
IHC | 1/50-1/100 |
ELISA | 1/10000 |
Product Image
- Western blot analysis of Fractalkine Receptor in U87 lysates using Fractalkine Receptor antibody.
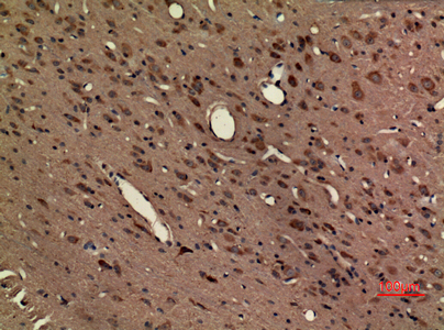
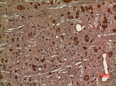
- Immunohistochemistry analysis of paraffin-embedded rat brain using Fractalkine Receptor antibody.High-pressure and temperature Sodium Citrate pH 6.0 was used for antigen retrieval.
- Immunohistochemistry analysis of paraffin-embedded rat brain using Fractalkine Receptor antibody. High-pressure and temperature Sodium Citrate pH 6.0 was used for antigen retrieval.
- Immunohistochemistry analysis of paraffin-embedded rat brain using Fractalkine Receptor antibody.High-pressure and temperature Sodium Citrate pH 6.0 was used for antigen retrieval.
For Reseach Only
Application Key:WB - Western Blot | IHC - Immunohistochemistry | ICC - Immunocytochemistry | FCM - Flow Cytometry | ELISA - Enzyme-linked Immunosorbent Assay | IP - Immunoprecipitation
#P23239

相关产品


