提醒成功

搜索
Rabbit Polyclonal Antibody to PKC zeta
-
货号:
P23136 -
别名:
PRKCZ; PKC2; Protein kinase C zeta type; nPKC-zeta -
应用:
WB,IHC,IF -
反应种属:
Human,Mouse,Rat,Monkey -
抗体类型:
Primary antibody -
Swissprot:
Q05513 -
规格:
-
数量:
-+ -
说明书:
目录价¥1980

Rabbit Polyclonal Antibody to PKC zeta
Description |
---|
PKC is one of the earliest events in a cascade that controls a variety of cellular responses, including secretion, gene expression, proliferation, and muscle contraction. PKC is activated by diacylglycerol which in turn phosphorylates a range of cellular proteins. PKC also serves as the receptor for phorbol esters, a class of tumor promoters. Subunit of a quaternary complex that plays a central role in epithelial cell polarization. |
Specification |
|
---|---|
Aliases | PRKCZ; PKC2; Protein kinase C zeta type; nPKC-zeta |
Entrez GeneID | 5590 |
Swissprot | Q05513 |
WB Predicted band size | Calculated MW: 68 kDa; Observed MW: 80 kDa |
Host/Isotype | Rabbit IgG |
Antibody Type | Primary antibody |
Storage | Store at 4°C short term. Aliquot and store at -20°C long term. Avoid freeze/thaw cycles. |
Species Reactivity | Human,Mouse,Rat,Monkey |
Immunogen | The antiserum was produced against synthesized peptide derived from human PKC zeta. AA range:526-575 |
Formulation | Purified antibody in PBS with 0.05% sodium azide,0.5%BSA and 50% glycerol. |
Application |
|
---|---|
WB | 1/500-1/1000 |
IHC | 1/50-1/100 |
IF/ICC | 1/50-1/200 |
ELISA | 1/10000 |
Product Image
- Western blot analysis of PKC zeta in various lysates using PKC zeta antibody.
- Western blot analysis of PKC zeta in COS7 lysates using PKC ζ antibody.
- Western blot analysis of PKC zeta in COS7 lytsates treated with PMA using PKC zeta antibody. The lane on the right is blocked with the synthesized peptide.
- Immunofluorescence analysis of PKC zeta in.NIH/3T3 cells, using PKC zeta antibody. The picture on the right is blocked with the synthesized peptide.
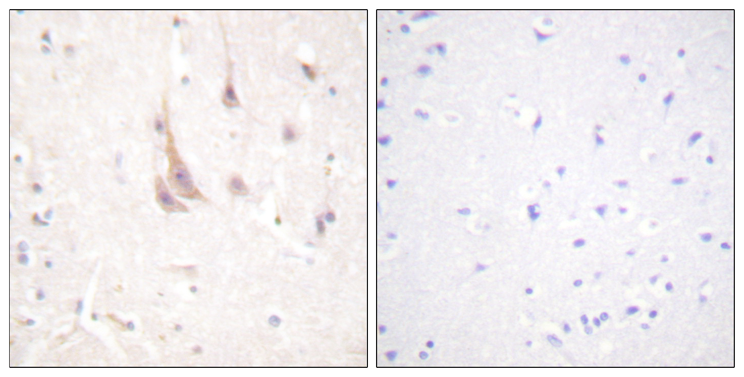
- Immunohistochemistry analysis of paraffin-embedded Human brain tissue using PKC zeta antibody.High-pressure and temperature Sodium Citrate pH 6.0 was used for antigen retrieval.Sample with blocking peptide on the right.
For Reseach Only
Application Key:WB - Western Blot | IHC - Immunohistochemistry | ICC - Immunocytochemistry | FCM - Flow Cytometry | ELISA - Enzyme-linked Immunosorbent Assay | IP - Immunoprecipitation
#P23136

相关产品


