提醒成功

搜索
Rabbit Polyclonal Antibody to Myosin Phosphatase
-
货号:
P23135 -
别名:
PPP1R12A; MBS; MYPT1; Protein phosphatase 1 regulatory subunit 12A; Myosin phosphatase-targeting subunit 1; Myosin phosphatase target subunit 1; Protein phosphatase myosin-binding subunit -
应用:
WB,IHC -
反应种属:
Human,Mouse,Rat,Monkey -
抗体类型:
Primary antibody -
Swissprot:
O14974 -
规格:
-
数量:
-+ -
说明书:
目录价¥1980

Rabbit Polyclonal Antibody to Myosin Phosphatase
Description |
---|
Key regulator of protein phosphatase 1C (PPP1C). Mediates binding to myosin. As part of the PPP1C complex, involved in dephosphorylation of PLK1. Capable of inhibiting HIF1AN-dependent suppression of HIF1A activity. |
Specification |
|
---|---|
Aliases | PPP1R12A; MBS; MYPT1; Protein phosphatase 1 regulatory subunit 12A; Myosin phosphatase-targeting subunit 1; Myosin phosphatase target subunit 1; Protein phosphatase myosin-binding subunit |
Entrez GeneID | 4659 |
Swissprot | O14974 |
WB Predicted band size | Calculated MW: 115 kDa; Observed MW: 140 kDa |
Host/Isotype | Rabbit IgG |
Antibody Type | Primary antibody |
Storage | Store at 4°C short term. Aliquot and store at -20°C long term. Avoid freeze/thaw cycles. |
Species Reactivity | Human,Mouse,Rat,Monkey |
Immunogen | The antiserum was produced against synthesized peptide derived from human MYPT1. AA range:661-710 |
Formulation | Purified antibody in PBS with 0.05% sodium azide,0.5%BSA and 50% glycerol. |
Application |
|
---|---|
WB | 1/500-1/1000 |
IHC | 1/50-1/100 |
ELISA | 1/10000 |
Product Image
- Western blot analysis of Myosin Phosphatase in various lysates using Myosin Phosphatase antibody.
- Western blot analysis of Myosin Phosphatase in 293T lysates using MYPT1 antibody.
- Western blot analysis of Myosin Phosphatase in COS7 lysates using Myosin Phosphatase antibody.The lane on the right is blocked with the synthesized peptide.
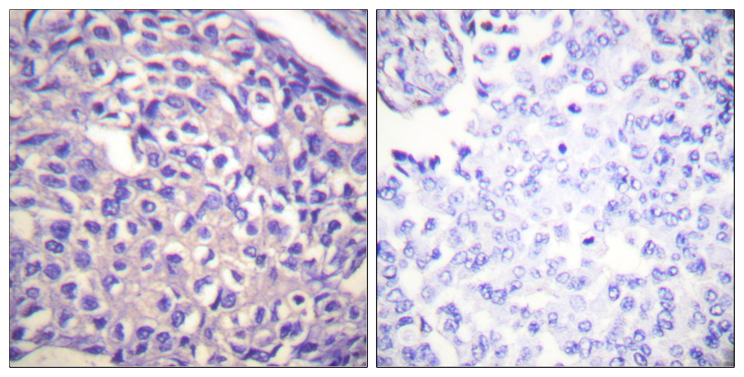
- Immunohistochemistry analysis of paraffin-embedded Human breast carcinoma tissue using MYPT1 antibody. High-pressure and temperature Sodium Citrate pH 6.0 was used for antigen retrieval. Sample with blocking peptide on the right.
For Reseach Only
Application Key:WB - Western Blot | IHC - Immunohistochemistry | ICC - Immunocytochemistry | FCM - Flow Cytometry | ELISA - Enzyme-linked Immunosorbent Assay | IP - Immunoprecipitation
#P23135

相关产品


