提醒成功

搜索
Rabbit Polyclonal Antibody to GIV
-
货号:
P23103 -
别名:
Akt phosphorylation enhancer; APE; Coiled-coil domain-containing protein 88A; G alpha-interacting vesicle-associated protein; GIV; HkRP1 -
应用:
WB,IP,IF,FCM -
反应种属:
Human,Mouse,Rat -
抗体类型:
Primary antibody -
Swissprot:
Q3V6T2 -
规格:
-
数量:
-+ -
说明书:
目录价¥1980

Rabbit Polyclonal Antibody to GIV
Description |
---|
Bifunctional modulator of guanine nucleotide-binding proteins (G proteins). |
Specification |
|
---|---|
Aliases | Akt phosphorylation enhancer; APE; Coiled-coil domain-containing protein 88A; G alpha-interacting vesicle-associated protein; GIV; HkRP1 |
Entrez GeneID | 55704 |
Swissprot | Q3V6T2 |
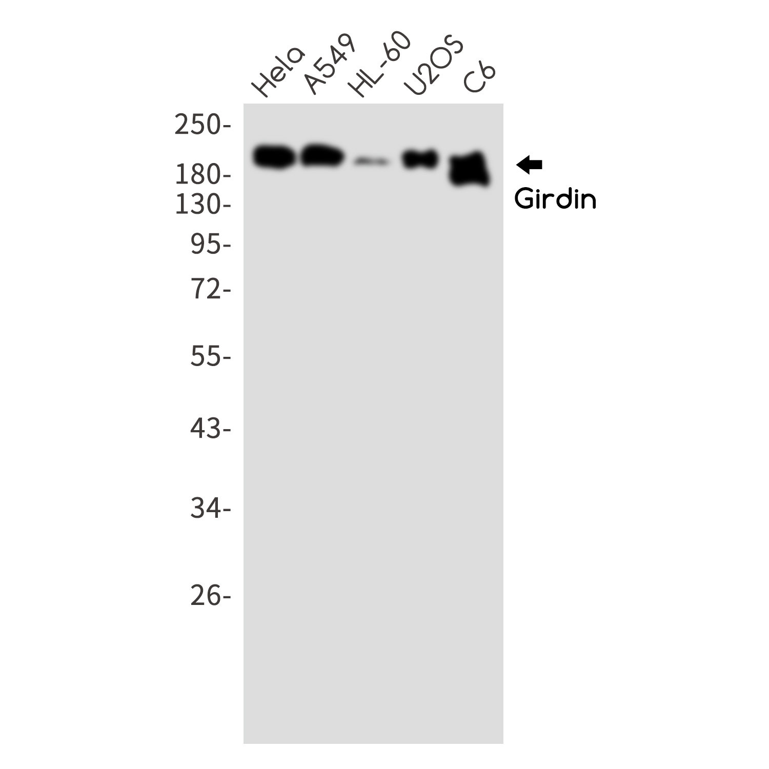
WB Predicted band size | Calculated MW: 216 kDa; Observed MW: 216 kDa |
Host/Isotype | Rabbit IgG |
Antibody Type | Primary antibody |
Storage | Store at 4°C short term. Aliquot and store at -20°C long term. Avoid freeze/thaw cycles. |
Species Reactivity | Human,Mouse,Rat |
Immunogen | Recombinant protein of human Girdin |
Formulation | Purified antibody in TBS with 0.05% sodium azide,0.05%BSA and 50% glycerol. |
Application |
|
---|---|
WB | 1/500-1/1000 |
IP | 1/10-1/20 |
IF/ICC | 1/50-1/200 |
FCM | 1/50-1/100 |
Product Image
For Reseach Only
Application Key:WB - Western Blot | IHC - Immunohistochemistry | ICC - Immunocytochemistry | FCM - Flow Cytometry | ELISA - Enzyme-linked Immunosorbent Assay | IP - Immunoprecipitation
#P23103

相关产品


