提醒成功

搜索
Mouse Monoclonal Antibody to COL3A1
-
货号:
31770 -
别名:
EDS4A; EDSVASC; PMGEDSV -
应用:
IHC,FCM -
反应种属:
Human -
抗体类型:
Primary antibody -
Swissprot:
P02461 -
规格:
-
数量:
-+ -
说明书:
目录价¥2180

Mouse Monoclonal Antibody to COL3A1
Description |
---|
This gene encodes the pro-alpha1 chains of type III collagen, a fibrillar collagen that is found in extensible connective tissues such as skin, lung, uterus, intestine and the vascular system, frequently in association with type I collagen. Mutations in this gene are associated with Ehlers-Danlos syndrome types IV, and with aortic and arterial aneurysms. Two transcripts, resulting from the use of alternate polyadenylation signals, have been identified for this gene. |
References |
---|
1.PLoS One. 2018 Jan 18;13(1):e0191220. 2.Hum Pathol. 2016 Nov;57:176-181. |
Specification |
|
---|---|
Aliases | EDS4A; EDSVASC; PMGEDSV |
Entrez GeneID | 1281 |
Swissprot | P02461 |
clone | 8C1G11 |
WB Predicted band size | 138.6kDa |
Host/Isotype | Mouse IgG1 |
Antibody Type | Primary antibody |
Storage | Store at 4°C short term. Aliquot and store at -20°C long term. Avoid freeze/thaw cycles. |
Species Reactivity | Human |
Immunogen | Purified recombinant fragment of human COL3A1 (AA: 24-153) expressed in E. Coli. |
Formulation | Purified antibody in PBS with 0.05% sodium azide |
Application |
|
---|---|
IHC | 1/200 - 1/1000 |
FCM | 1/200 - 1/400 |
ELISA | 1/10000 |
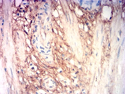
Product Image
- Black line: Control Antigen (100 ng);Purple line: Antigen (10ng); Blue line: Antigen (50 ng); Red line:Antigen (100 ng)
- Flow cytometric analysis of Hela cells using COL3A1 mouse mAb (green) and negative control (red).
- Immunohistochemical analysis of paraffin-embedded human cervical cancer tissues using COL3A1 mouse mAb with DAB staining.
- Immunohistochemical analysis of paraffin-embedded human stomach cancer tissues using COL3A1 mouse mAb with DAB staining.
For Reseach Only
Application Key:WB - Western Blot | IHC - Immunohistochemistry | ICC - Immunocytochemistry | FCM - Flow Cytometry | ELISA - Enzyme-linked Immunosorbent Assay | IP - Immunoprecipitation
#31770

相关产品


