提醒成功

搜索
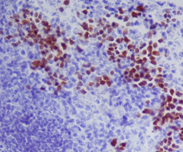
Rabbit Polyclonal Antibody to GATA1
-
货号:
P22934 -
别名:
GATA1; ERYF1; GF1; Erythroid transcription factor; Eryf1; GATA-binding factor 1; GATA-1; GF-1; NF-E1 DNA-binding protein -
应用:
WB,IP,IHC,IF -
反应种属:
Human -
抗体类型:
Primary antibody -
Swissprot:
P15976 -
规格:
-
数量:
-+ -
说明书:
目录价¥1980

Rabbit Polyclonal Antibody to GATA1
Description |
---|
GATA-1 is the founding member of the GATA family and is required for erythroid and megakaryocytic cell development. Mutations in GATA-1 have been linked to many human diseases, including acute megakaryoblastic leukemia in Down syndrome children (DS-AMKL), X-linked thrombocytopenia, and gray platelet syndrome. |
Specification |
|
---|---|
Aliases | GATA1; ERYF1; GF1; Erythroid transcription factor; Eryf1; GATA-binding factor 1; GATA-1; GF-1; NF-E1 DNA-binding protein |
Entrez GeneID | 2623 |
Swissprot | P15976 |
WB Predicted band size | Calculated MW: 43 kDa; Observed MW: 43 kDa |
Host/Isotype | Rabbit IgG |
Antibody Type | Primary antibody |
Storage | Store at 4°C short term. Aliquot and store at -20°C long term. Avoid freeze/thaw cycles. |
Species Reactivity | Human |
Immunogen | A synthesized peptide derived from human GATA1 |
Formulation | Purified antibody in PBS with 0.05% sodium azide. |
Application |
|
---|---|
WB | 1/500-1/1000 |
IP | 1/10-1/20 |
IHC | 1/50-1/100 |
IF/ICC | 1/50-1/200 |
Product Image
For Reseach Only
Application Key:WB - Western Blot | IHC - Immunohistochemistry | ICC - Immunocytochemistry | FCM - Flow Cytometry | ELISA - Enzyme-linked Immunosorbent Assay | IP - Immunoprecipitation
#P22934

相关产品


