提醒成功

Mouse Monoclonal Antibody to CD334
-
货号:
31754 -
别名:
FGFR4; TKF; JTK2 -
应用:
WB,FCM -
反应种属:
Human, Monkey -
抗体类型:
Primary antibody -
Swissprot:
P22455 -
规格:
-
数量:
-+ -
说明书:
目录价¥2180

Mouse Monoclonal Antibody to CD334
Description |
---|
The protein encoded by this gene is a tyrosine kinase and cell surface receptor for fibroblast growth factors. The encoded protein is involved in the regulation of several pathways, including cell proliferation, cell differentiation, cell migration, lipid metabolism, bile acid biosynthesis, vitamin D metabolism, glucose uptake, and phosphate homeostasis. This protein consists of an extracellular region, composed of three immunoglobulin-like domains, a single hydrophobic membrane-spanning segment, and a cytoplasmic tyrosine kinase domain. The extracellular portion interacts with fibroblast growth factors, setting in motion a cascade of downstream signals, ultimately influencing mitogenesis and differentiation. [provided by RefSeq, Aug 2017] |
References |
---|
1.Mol Carcinog. 2018 Aug;57(8):988-996. 2.Oncotarget. 2016 Oct 25;7(43):69976-69990. |
Specification |
|
---|---|
Aliases | FGFR4; TKF; JTK2 |
Entrez GeneID | 2264 |
Swissprot | P22455 |
clone | 8A1G2 |
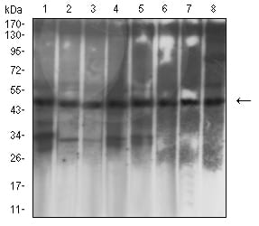
WB Predicted band size | 88kDa |
Host/Isotype | Mouse IgG1 |
Antibody Type | Primary antibody |
Storage | Store at 4°C short term. Aliquot and store at -20°C long term. Avoid freeze/thaw cycles. |
Species Reactivity | Human, Monkey |
Immunogen | Purified recombinant fragment of human CD334 (AA: extra 22-369) expressed in E. Coli. |
Formulation | Purified antibody in PBS with 0.05% sodium azide |
Application |
|
---|---|
WB | 1/500 - 1/2000 |
FCM | 1/200 - 1/400 |
ELISA | 1/10000 |
Product Image
- Black line: Control Antigen (100 ng);Purple line: Antigen (10ng); Blue line: Antigen (50 ng); Red line:Antigen (100 ng)
- Western blot analysis using CD334 mouse mAb against K562 (1), MCF-7 (2), COS7 (3), and PC-3 (4) cell lysate.
- Flow cytometric analysis of HL-60 cells using CD334 mouse mAb (green) and negative control (red).
For Reseach Only
Application Key:WB - Western Blot | IHC - Immunohistochemistry | ICC - Immunocytochemistry | FCM - Flow Cytometry | ELISA - Enzyme-linked Immunosorbent Assay | IP - Immunoprecipitation
#31754

相关产品


