提醒成功
搜索
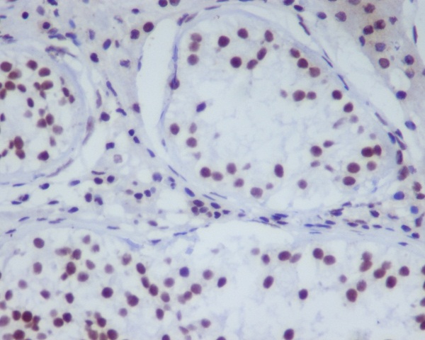
Rabbit Monoclonal Antibody to HDAC1
-
货号:
P22758 -
别名:
HDAC1; RPD3L1; Histone deacetylase 1; HD1 -
应用:
WB,IHC,IF,FCM,IP -
反应种属:
Human,Mouse,Rat -
抗体类型:
Primary antibody -
Swissprot:
Q13547 -
规格:
-
数量:
-+ -
说明书:
目录价¥1980
Rabbit Monoclonal Antibody to HDAC1
Description |
|---|
HDAC1 a transcriptional regulator of the histone deacetylase family, subfamily 1. Deacetylates lysine residues on the N-terminal part of the core histones H2A, H2B, H3 AND H4. Plays an important role in transcriptional regulation, cell cycle progression and developmental events. |
Specification |
|
|---|---|
| Aliases | HDAC1; RPD3L1; Histone deacetylase 1; HD1 |
| Entrez GeneID | 3065 |
| Swissprot | Q13547 |
| WB Predicted band size | Calculated MW: 55 kDa; Observed MW: 55 kDa |
| Host/Isotype | Rabbit IgG |
| Antibody Type | Primary antibody |
| Storage | Store at 4°C short term. Aliquot and store at -20°C long term. Avoid freeze/thaw cycles. |
| Species Reactivity | Human,Mouse,Rat |
| Immunogen | A synthesized peptide derived from human HDAC1 |
| Formulation | Purified antibody in PBS with 0.05% sodium azide. |
Application |
|
|---|---|
| WB | 1/500-1/1000 |
| IHC | 1/50-1/100 |
| IF/ICC | 1/50-1/200 |
Product Image
For Reseach Only
Application Key:WB - Western Blot | IHC - Immunohistochemistry | ICC - Immunocytochemistry | FCM - Flow Cytometry | ELISA - Enzyme-linked Immunosorbent Assay | IP - Immunoprecipitation
#P22758
相关产品

微信/QQ登录


首页
