提醒成功
搜索
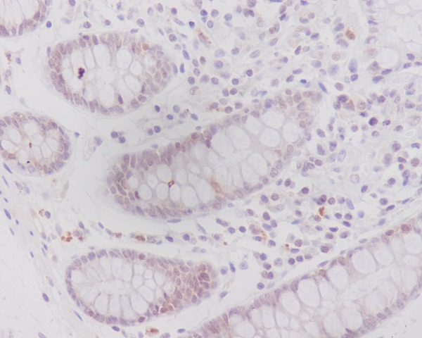
Rabbit Monoclonal Antibody to Caveolin-2
-
货号:
P22750 -
别名:
CAV2; Caveolae protein 20 Kd; Caveolin 2; Caveolin 2 isoform a and b; Caveolin-2 -
应用:
WB,IHC,IF,FCM -
反应种属:
Human -
抗体类型:
Primary antibody -
Swissprot:
P51636 -
规格:
-
数量:
-+ -
说明书:
目录价¥1980
Rabbit Monoclonal Antibody to Caveolin-2
Description |
|---|
May act as a scaffolding protein within caveolar membranes. Interacts directly with G-protein alpha subunits and can functionally regulate their activity. Acts as an accessory protein in conjunction with CAV1 in targeting to lipid rafts and driving caveolae formation. |
Specification |
|
|---|---|
| Aliases | CAV2; Caveolae protein 20 Kd; Caveolin 2; Caveolin 2 isoform a and b; Caveolin-2 |
| Entrez GeneID | 858 |
| Swissprot | P51636 |
| WB Predicted band size | Calculated MW: 18 kDa; Observed MW: 18 kDa |
| Host/Isotype | Rabbit IgG |
| Antibody Type | Primary antibody |
| Storage | Store at 4°C short term. Aliquot and store at -20°C long term. Avoid freeze/thaw cycles. |
| Species Reactivity | Human |
| Immunogen | A synthesized peptide derived from human Caveolin-2 |
| Formulation | Purified antibody in PBS with 0.05% sodium azide. |
Application |
|
|---|---|
| WB | 1/500-1/1000 |
| IP | 1/10-1/20 |
| IHC | 1/50-1/100 |
| IF/ICC | 1/50-1/200 |
Product Image
For Reseach Only
Application Key:WB - Western Blot | IHC - Immunohistochemistry | ICC - Immunocytochemistry | FCM - Flow Cytometry | ELISA - Enzyme-linked Immunosorbent Assay | IP - Immunoprecipitation
#P22750
相关产品

微信/QQ登录


首页
