提醒成功

搜索
Rabbit Monoclonal Antibody to Nampt
-
货号:
P22741 -
别名:
Nicotinamide phosphoribosyltransferase; NAmPRTase; Nampt; Pre-B-cell colony-enhancing factor 1; Pre-B cell-enhancing factor; Visfatin -
应用:
WB,IP,IHC,IF -
反应种属:
Human,Mouse,Rat -
抗体类型:
Primary antibody -
Swissprot:
P43490 -
规格:
-
数量:
-+ -
说明书:
目录价¥2180

Rabbit Monoclonal Antibody to Nampt
Description |
---|
PBEF1: nicotinamide phosphoribosyltransferase. This gene encodes a protein that catalyzes the condensation of nicotinamide with 5-phosphoribosyl-1-pyrophosphate to yield nicotinamide mononucleotide, one step in the biosynthesis of nicotinamide adenine dinucleotide. The protein is an adipokine that is localized to the bloodstream and has various functions, including the promotion of vascular smooth muscle cell maturation and inhibition of neutrophil apoptosis. It also activates insulin receptor and has insulin-mimetic effects, lowering blood glucose and improving insulin sensitivity. The protein is highly expressed in visceral fat and serum levels of the protein correlate with obesity. |
Specification |
|
---|---|
Aliases | Nicotinamide phosphoribosyltransferase; NAmPRTase; Nampt; Pre-B-cell colony-enhancing factor 1; Pre-B cell-enhancing factor; Visfatin |
Entrez GeneID | 10135 |
Swissprot | P43490 |
WB Predicted band size | Calculated MW: 56 kDa; Observed MW: 56 kDa |
Host/Isotype | Rabbit IgG |
Antibody Type | Primary antibody |
Storage | Store at 4°C short term. Aliquot and store at -20°C long term. Avoid freeze/thaw cycles. |
Species Reactivity | Human,Mouse,Rat |
Immunogen | A synthetic peptide of human Visfatin |
Formulation | Purified antibody in TBS with 0.05% sodium azide,0.05%BSA and 50% glycerol. |
Application |
|
---|---|
WB | 1/500-1/1000 |
IP | 1/10-1/20 |
IHC | 1/50-1/100 |
IF/ICC | 1/50-1/200 |
Product Image
- Western blot analysis of Visfatin in Hela, A549, HL-60, U2OS, C6 lysates using Visfatin antibody
- Western blot analysis of Visfatin in 3T3, Raw264.7 lysates using Visfatin antibody.
- Immunocytochemistry analysis of Nampt (green) in U87-MG using Nampt antibody,and DAPI(blue).
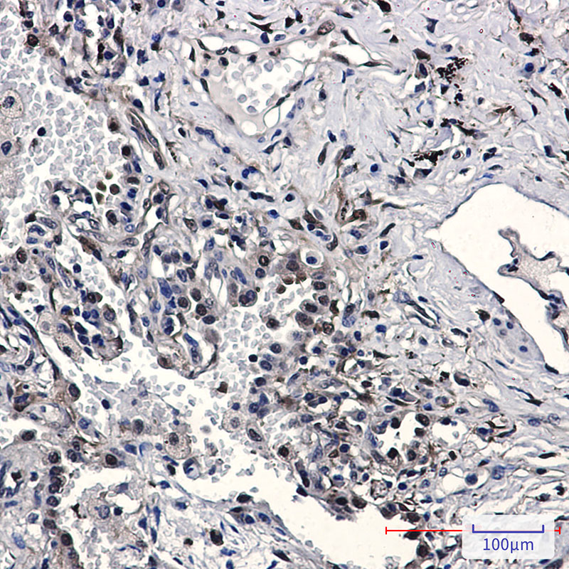
- Immunohistochemistry analysis of paraffin-embedded Human lung cancer using Visfatin antibody.High-pressure and temperature Sodium Citrate pH 6.0 was used for antigen retrieval.
For Reseach Only
Application Key:WB - Western Blot | IHC - Immunohistochemistry | ICC - Immunocytochemistry | FCM - Flow Cytometry | ELISA - Enzyme-linked Immunosorbent Assay | IP - Immunoprecipitation
#P22741

相关产品


