提醒成功

搜索
Rabbit Monoclonal Antibody to Ionotropic Glutamate Receptor 2
-
货号:
P22681 -
别名:
GRIA2; GLUR2; Glutamate receptor 2; GluR-2; AMPA-selective glutamate receptor 2; GluR-B; GluR-K2; Glutamate receptor ionotropic; AMPA 2; GluA2 -
应用:
WB,IP,IHC -
反应种属:
Human,Rat -
抗体类型:
Primary antibody -
Swissprot:
P42262 -
规格:
-
数量:
-+ -
说明书:
目录价¥2180

Rabbit Monoclonal Antibody to Ionotropic Glutamate Receptor 2
Description |
---|
Ionotropic glutamate receptor. L-glutamate acts as an excitatory neurotransmitter at many synapses in the central nervous system. Binding of the excitatory neurotransmitter L-glutamate induces a conformation change, leading to the opening of the cation channel, and thereby converts the chemical signal to an electrical impulse. The receptor then desensitizes rapidly and enters a transient inactive state, characterized by the presence of bound agonist. |
Specification |
|
---|---|
Aliases | GRIA2; GLUR2; Glutamate receptor 2; GluR-2; AMPA-selective glutamate receptor 2; GluR-B; GluR-K2; Glutamate receptor ionotropic; AMPA 2; GluA2 |
Entrez GeneID | 2891 |
Swissprot | P42262 |
WB Predicted band size | Calculated MW: 99 kDa; Observed MW: 99 kDa |
Host/Isotype | Rabbit IgG |
Antibody Type | Primary antibody |
Storage | Store at 4°C short term. Aliquot and store at -20°C long term. Avoid freeze/thaw cycles. |
Species Reactivity | Human,Rat |
Immunogen | A synthetic peptide of human Ionotropic Glutamate receptor 2 |
Formulation | Purified antibody in TBS with 0.05% sodium azide,0.05%BSA and 50% glycerol. |
Application |
|
---|---|
WB | 1/500-1/1000 |
IP | 1/10-1/20 |
IHC | 1/50-1/100 |
Product Image
- Western blot analysis of Ionotropic Glutamate receptor 2 in C6 lysates using Ionotropic Glutamate Receptor 2 antibody.
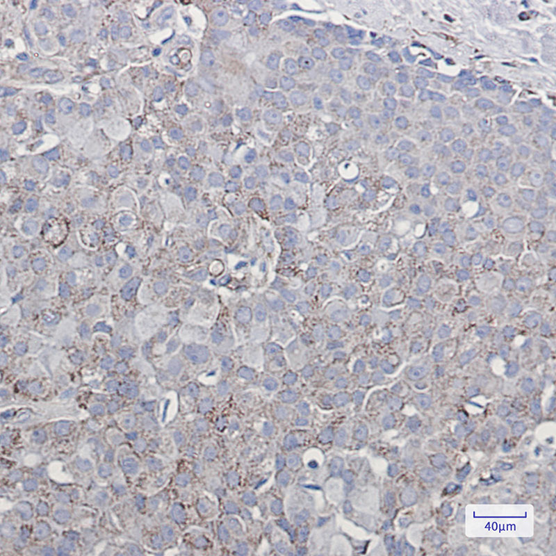
- Immunohistochemistry analysis of paraffin-embedded Human breast cancer using Ionotropic Glutamate receptor 2 antibody.High-pressure and temperature Sodium Citrate pH 6.0 was used for antigen retrieval.
For Reseach Only
Application Key:WB - Western Blot | IHC - Immunohistochemistry | ICC - Immunocytochemistry | FCM - Flow Cytometry | ELISA - Enzyme-linked Immunosorbent Assay | IP - Immunoprecipitation
#P22681

相关产品


