提醒成功

搜索
Rabbit Monoclonal Antibody to Vimentin
-
货号:
P22678 -
别名:
VIM; Vimentin -
应用:
WB,IHC,IF -
反应种属:
Human,Mouse,Rat,Hamster -
抗体类型:
Primary antibody -
Swissprot:
P08670 -
规格:
-
数量:
-+ -
说明书:
目录价¥2180

Rabbit Monoclonal Antibody to Vimentin
Description |
---|
Vimentin an intermediate filament protein. Intermediate filament proteins are expressed in a tissue-specific manner. Desmin is the subunit specific for muscle and vimentin the subunit specific for mesenchymal tissue. |
Specification |
|
---|---|
Aliases | VIM; Vimentin |
Entrez GeneID | 7431 |
Swissprot | P08670 |
WB Predicted band size | Calculated MW: 54 kDa; Observed MW: 54 kDa |
Host/Isotype | Rabbit IgG |
Antibody Type | Primary antibody |
Storage | Store at 4°C short term. Aliquot and store at -20°C long term. Avoid freeze/thaw cycles. |
Species Reactivity | Human,Mouse,Rat,Hamster |
Immunogen | A synthetic peptide of human Vimentin |
Formulation | Purified antibody in TBS with 0.05% sodium azide,0.05%BSA and 50% glycerol. |
Application |
|
---|---|
WB | 1/500-1/1000 |
IHC | 1/50-1/100 |
IF/ICC | 1/50-1/200 |
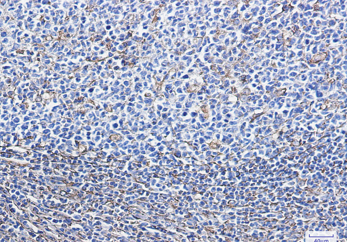
Product Image
- Western blot analysis of Vimentin in 3T3 lysates using Vimentin antibody.
- Western blot analysis of Vimentin in C6, CHO-K1, Hela lysates using Vimentin antibody.
- Immunocytochemistry analysis of Vimentin (green) in Hela using Vimentin antibody,and DAPI(blue).
- Immunohistochemistry analysis of paraffin-embedded Human tonsil using Vimentin antibody. High-pressure and temperature Sodium Citrate pH 6.0 was used for antigen retrieval.
For Reseach Only
Application Key:WB - Western Blot | IHC - Immunohistochemistry | ICC - Immunocytochemistry | FCM - Flow Cytometry | ELISA - Enzyme-linked Immunosorbent Assay | IP - Immunoprecipitation
#P22678

相关产品


