提醒成功

搜索
Rabbit Monoclonal Antibody to ZBTB7A
-
货号:
P22635 -
别名:
FBI1; LRF; Pokemon; TIP21; ZBTB7; ZBTB7A; ZNF857A -
应用:
WB,IP,IHC,IF -
反应种属:
Human -
抗体类型:
Primary antibody -
Swissprot:
O95365 -
规格:
-
数量:
-+ -
说明书:
目录价¥2180

Rabbit Monoclonal Antibody to ZBTB7A
Description |
---|
Plays a key role in the instruction of early lymphoid progenitors to develop into B lineage by repressing T-cell instructive Notch signals (By similarity). |
Specification |
|
---|---|
Aliases | FBI1; LRF; Pokemon; TIP21; ZBTB7; ZBTB7A; ZNF857A |
Entrez GeneID | 51341 |
Swissprot | O95365 |
WB Predicted band size | Calculated MW: 61 kDa; Observed MW: 61 kDa |
Host/Isotype | Rabbit IgG |
Antibody Type | Primary antibody |
Storage | Store at 4°C short term. Aliquot and store at -20°C long term. Avoid freeze/thaw cycles. |
Species Reactivity | Human |
Immunogen | A synthetic peptide of human ZBTB7A |
Formulation | Purified antibody in TBS with 0.05% sodium azide,0.05%BSA and 50% glycerol. |
Application |
|
---|---|
WB | 1/500-1/1000 |
IP | 1/10-1/20 |
IHC | 1/50-1/100 |
IF/ICC | 1/50-1/200 |
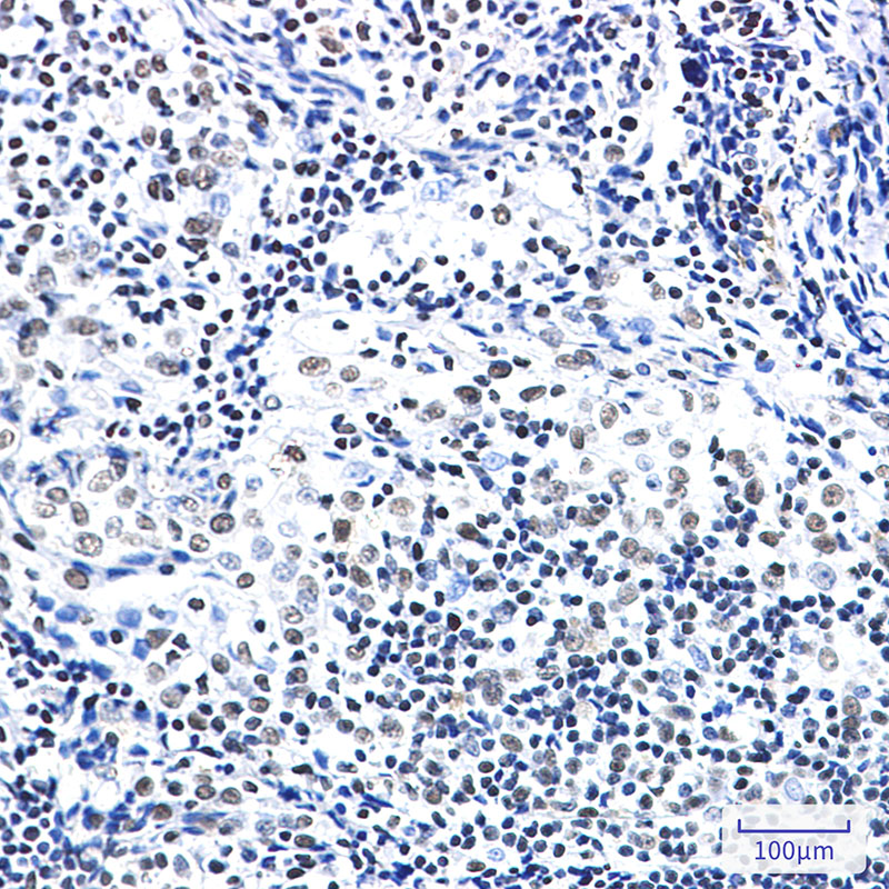
Product Image
- Western blot analysis of ZBTB7A in Hela, Ramos lysates using ZBTB7A antibody.
- Immunocytochemistry analysis of ZBTB7A (green) in MCF-7 using ZBTB7A antibody,and DAPI(blue)
- Immunohistochemistry analysis of paraffin-embedded Human tonsil using ZBTB7A antibody.High-pressure and temperature Sodium Citrate pH 6.0 was used for antigen retrieval.
For Reseach Only
Application Key:WB - Western Blot | IHC - Immunohistochemistry | ICC - Immunocytochemistry | FCM - Flow Cytometry | ELISA - Enzyme-linked Immunosorbent Assay | IP - Immunoprecipitation
#P22635

相关产品


