提醒成功

搜索
Rabbit Monoclonal Antibody to WWOX
-
货号:
P22631 -
别名:
FOR; WOX1; EIEE28; FRA16D; SCAR12; HHCMA56; PRO0128; SDR41C1; D16S432E -
应用:
WB,IP,IHC -
反应种属:
Human,Mouse -
抗体类型:
Primary antibody -
Swissprot:
Q9NZC7 -
规格:
-
数量:
-+ -
说明书:
目录价¥2180

Rabbit Monoclonal Antibody to WWOX
Description |
---|
Putative oxidoreductase. |
Specification |
|
---|---|
Aliases | FOR; WOX1; EIEE28; FRA16D; SCAR12; HHCMA56; PRO0128; SDR41C1; D16S432E |
Entrez GeneID | 51741 |
Swissprot | Q9NZC7 |
WB Predicted band size | Calculated MW: 47 kDa; Observed MW: 47 kDa |
Host/Isotype | Rabbit IgG |
Antibody Type | Primary antibody |
Storage | Store at 4°C short term. Aliquot and store at -20°C long term. Avoid freeze/thaw cycles. |
Species Reactivity | Human,Mouse |
Immunogen | Recombinant protein of human WWOX |
Formulation | Purified antibody in TBS with 0.05% sodium azide,0.05%BSA and 50% glycerol. |
Application |
|
---|---|
WB | 1/500-1/1000 |
IP | 1/10-1/20 |
IHC | 1/50-1/100 |
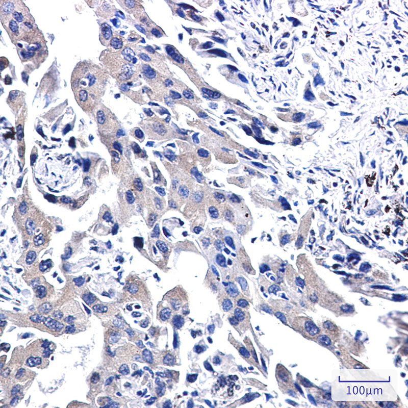
Product Image
- Western blot analysis of WWOX in mouse testis, mouse spleen lysates using WWOX antibody.
- Western blot analysis of WWOX in Hela, U2OS, U251MG lysates using WWOX antibody.
- Immunohistochemistry analysis of paraffin-embedded Human lung cancer using WWOX antibody. High-pressure and temperature Sodium Citrate pH 6.0 was used for antigen retrieval.
For Reseach Only
Application Key:WB - Western Blot | IHC - Immunohistochemistry | ICC - Immunocytochemistry | FCM - Flow Cytometry | ELISA - Enzyme-linked Immunosorbent Assay | IP - Immunoprecipitation
#P22631

相关产品


