提醒成功

搜索
Rabbit Monoclonal Antibody to VPS35
-
货号:
P22630 -
别名:
hVPS35; MEM3; PARK17; VPS35 -
应用:
WB,IHC -
反应种属:
Human,Mouse,Rat -
抗体类型:
Primary antibody -
Swissprot:
Q96QK1 -
规格:
-
数量:
-+ -
说明书:
目录价¥2180

Rabbit Monoclonal Antibody to VPS35
Description |
---|
Essential component of the retromer complex, a complex required to retrieve lysosomal enzyme receptors (IGF2R and M6PR) from endosomes to the trans-Golgi network. Also required to regulate transcytosis of the polymeric immunoglobulin receptor (pIgR-pIgA). |
Specification |
|
---|---|
Aliases | hVPS35; MEM3; PARK17; VPS35 |
Entrez GeneID | 55737 |
Swissprot | Q96QK1 |
WB Predicted band size | Calculated MW: 92 kDa; Observed MW: 81 kDa |
Host/Isotype | Rabbit IgG |
Antibody Type | Primary antibody |
Storage | Store at 4°C short term. Aliquot and store at -20°C long term. Avoid freeze/thaw cycles. |
Species Reactivity | Human,Mouse,Rat |
Immunogen | A synthetic peptide of human VPS35 |
Formulation | Purified antibody in TBS with 0.05% sodium azide,0.05%BSA and 50% glycerol. |
Application |
|
---|---|
WB | 1/500-1/1000 |
IHC | 1/50-1/100 |
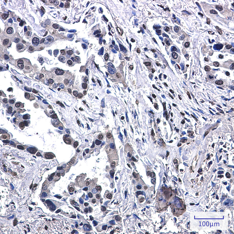
Product Image
- Western blot analysis of VPS35 in 3T3, mouse brain, rat brain, rat kidney lysates using VPS35 antibody.
- Western blot analysis of VPS35 in HepG2, U2OS, U251 lysates using VPS35 antibody.
- Immunohistochemistry analysis of paraffin-embedded Human lung cancer using VPS35 antibody. High-pressure and temperature Sodium Citrate pH 6.0 was used for antigen retrieval.
For Reseach Only
Application Key:WB - Western Blot | IHC - Immunohistochemistry | ICC - Immunocytochemistry | FCM - Flow Cytometry | ELISA - Enzyme-linked Immunosorbent Assay | IP - Immunoprecipitation
#P22630

相关产品


