提醒成功

搜索
Rabbit Monoclonal Antibody to Ubiquitin K63
-
货号:
P22626 -
别名:
FLJ25987; MGC8385; ubiquitin B; Ubiquitin; UBCEP1; UBCEP2; RPS27A -
应用:
WB,IHC,IF -
反应种属:
Human -
抗体类型:
Primary antibody -
Swissprot:
P0CG47 -
规格:
-
数量:
-+ -
说明书:
目录价¥2180

Rabbit Monoclonal Antibody to Ubiquitin K63
Description |
---|
Plays an important role in the ubiquitin-proteasome pathway. Ubiquitin can be covalently linked to many cellular proteins by the ubiquitination process, which targets proteins for degradation by the 26S proteasome. Three components are involved in the target protein-ubiquitin conjugation process. Ubiquitin is first activated by forming a thiolester complex with the activation component E1; the activated ubiquitin is subsequently transferred to the ubiquitin-carrier protein E2, then from E2 to ubiquitin ligase E3 for final delivery to the epsilon-NH2 of the target protein lysine residue. |
Specification |
|
---|---|
Aliases | FLJ25987; MGC8385; ubiquitin B; Ubiquitin; UBCEP1; UBCEP2; RPS27A |
Entrez GeneID | 7314 |
Swissprot | P0CG47 |
WB Predicted band size | Calculated MW: 26 kDa; Observed MW: 8 kDa |
Host/Isotype | Rabbit IgG |
Antibody Type | Primary antibody |
Storage | Store at 4°C short term. Aliquot and store at -20°C long term. Avoid freeze/thaw cycles. |
Species Reactivity | Human |
Immunogen | A synthetic peptide of human Ubiquitin (linkage-specific K63) |
Formulation | Purified antibody in TBS with 0.05% sodium azide,0.05%BSA and 50% glycerol. |
Application |
|
---|---|
WB | 1/500-1/1000 |
IHC | 1/50-1/100 |
IF/ICC | 1/50-1/200 |
Product Image
- Western blot analysis of Ubiquitin (linkagespecific K63) in Hela, A549 lysates using Ubiquitin K63 antibody.
- Immunocytochemistry analysis of Ubiquitin (linkagespecific K63) (green) in hela using Ubiquitin (linkagespecific K63) antibody,and DAPI(blue)
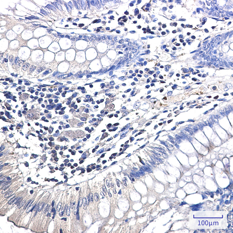
- Immunohistochemistry analysis of paraffin-embedded Human colon cancer using Ubiquitin (linkagespecific K63) antibody.High-pressure and temperature Sodium Citrate pH 6.0 was used for antigen retrieval.
For Reseach Only
Application Key:WB - Western Blot | IHC - Immunohistochemistry | ICC - Immunocytochemistry | FCM - Flow Cytometry | ELISA - Enzyme-linked Immunosorbent Assay | IP - Immunoprecipitation
#P22626

相关产品


