提醒成功
搜索
Rabbit Monoclonal Antibody to Tissue Factor
-
货号:
P22606 -
别名:
F3; Tissue factor; TF; Coagulation factor III; Thromboplastin; CD antigen CD142 -
应用:
WB,IP,IHC,IF -
反应种属:
Human -
抗体类型:
Primary antibody -
Swissprot:
P13726 -
规格:
-
数量:
-+ -
说明书:
目录价¥2180
Rabbit Monoclonal Antibody to Tissue Factor
Description |
|---|
Initiates blood coagulation by forming a complex with circulating factor VII or VIIa. The [TF:VIIa] complex activates factors IX or X by specific limited protolysis. TF plays a role in normal hemostasis by initiating the cell-surface assembly and propagation of the coagulation protease cascade. |
Specification |
|
|---|---|
| Aliases | F3; Tissue factor; TF; Coagulation factor III; Thromboplastin; CD antigen CD142 |
| Entrez GeneID | 2152 |
| Swissprot | P13726 |
| WB Predicted band size | Calculated MW: 33 kDa; Observed MW: 45 kDa |
| Host/Isotype | Rabbit IgG |
| Antibody Type | Primary antibody |
| Storage | Store at 4°C short term. Aliquot and store at -20°C long term. Avoid freeze/thaw cycles. |
| Species Reactivity | Human |
| Immunogen | Recombinant protein of human Tissue Factor |
| Formulation | Purified antibody in TBS with 0.05% sodium azide,0.05%BSA and 50% glycerol. |
Application |
|
|---|---|
| WB | 1/500-1/1000 |
| IP | 1/10-1/20 |
| IHC | 1/50-1/100 |
| IF/ICC | 1/50-1/200 |
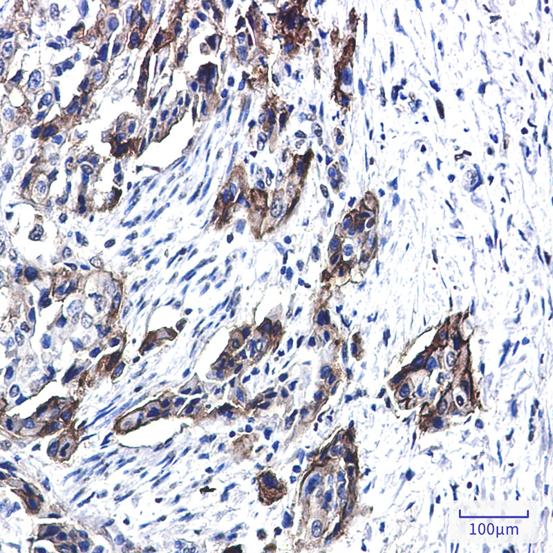
Product Image
- Western blot analysis of Tissue Factor in A549, HL-60, U2OS lysates using Tissue Factor antibody.
- Immunocytochemistry analysis of Tissue Factor (green) in SKOV-3 using Tissue Factor antibody,and DAPI(blue).
- Immunohistochemistry analysis of paraffin-embedded Human lung cancer tissue using Tissue Factor antibody. High-pressure and temperature Sodium Citrate pH 6.0 was used for antigen retrieval.
For Reseach Only
Application Key:WB - Western Blot | IHC - Immunohistochemistry | ICC - Immunocytochemistry | FCM - Flow Cytometry | ELISA - Enzyme-linked Immunosorbent Assay | IP - Immunoprecipitation
#P22606
相关产品

微信/QQ登录


首页
